きれいな歯並びは
歯医者選びから!

【2026年】東京都渋谷区で認定医・指導医・臨床医がいるおすすめ矯正歯科

東京都渋谷区で認定医・指導医・臨床医がいるおすすめ矯正歯科の画像

東京都渋谷区の認定医・指導医・臨床医がいるおすすめの歯医者さん(矯正歯科)をご紹介します。
東京都渋谷区で歯列矯正治療をするならどこのクリニック?何に注目して選ぶべき?そんなお悩みがある方に本記事はおすすめです。

この記事で紹介する東京都渋谷区で認定医・指導医・臨床医がいるおすすめの矯正歯科医院は下記の通りです。

  • 青山表参道矯正歯科クリニック

矯正歯科医院選びの参考として、アクセスや診療時間などの基本情報や医院ごとの特長、院内写真などを掲載しています。矯正治療を検討中の方はぜひ読んでみてください。

※2026年3月時点 おすすめしたい歯科医院は、株式会社メディカルネットが20年以上にわたり歯科医院情報サイトを運営して得た情報に基づき掲載しております。
治療法の選択肢が多い、通院しやすい立地、充実した設備・医療機器に加えて、日曜診療や夜間診療対応、アフターケアや保証の有無などを基準に医院を選定しています。

※本ページにはプロモーションが含まれています。

【2026年】東京都渋谷区で認定医・指導医・臨床医がいるおすすめ矯正歯科

青山表参道矯正歯科クリニックのご紹介

青山表参道矯正歯科クリニックは、東京メトロ各線「表参道駅」A1出口から徒歩1分の場所にある矯正歯科クリニックです。
院内は、ラグジュアリーホテルでも使用されている素材を取り入れており、落ち着きのある空間づくりにこだわっています。建築分野に携わる院長の家族が設計に協力し、細部まで配慮したインテリアデザインが施されているそうです。

同クリニックには矯正治療を得意とする歯科医師が在籍しており、それぞれの視点から診断や治療方針について意見を出し合いながら診療を行っているといいます。矯正治療の基本となる「型」を大切にしつつ、症例ごとに柔軟な治療計画を立案し、患者さん一人ひとりの口腔内の状態に合わせた矯正治療に取り組んでいるそうです。

院長の森崎彰将先生は、日本矯正歯科学会認定医です。大学病院で研鑽を積んだ後、神奈川歯科大学歯学部にて歯学博士を取得。矯正治療を専門に扱う医療機関で臨床経験を重ね、院内の症例に携わってきたといいます。
また、同クリニックに在籍の小田 義人先生も矯正治療に特化した医療機関で研鑽を積み、幅広い症例に対応しているそうです。

他にも同クリニックには、日本口腔外科学会認定医の曽根 嘉人先生、日本口腔インプラント学会専修医の曽根 崇晴先生、日本補綴歯科学会専門医の秋山 友里先生が在籍しています。
在籍している歯科医師の分野は、矯正歯科だけでなく、口腔外科やインプラント治療、補綴治療(ほてつちりょう)など。それぞれの得意分野を活かしたチーム医療体制をつくり、患者さんの希望に応じた歯科医療の提供を目指しているそうです。

青山表参道矯正歯科クリニック・日本矯正歯科学会認定医・森崎 彰将

森崎 彰将 歯科医師の画像

患者様が相談しやすい雰囲気づくりを大切にしています

青山表参道矯正歯科クリニックには、歯並びの悩みに幅広く対応できるよう個々の領域で技術を磨いた歯科医師が集まっています。複雑な症例であっても歯科医師同士が意見を出し合い、治療の提案ができる環境です。

私自身、中学生のときに矯正治療を受けてコンプレックスがなくなりました。その経験から、患者さんが笑顔に自信を持ち、生き生きと過ごせるお手伝いをすることが私の喜びになっています。
歯並びのことで悩みがあれば、お気軽にご相談ください。

森崎 彰将先生にインタビュー!

矯正歯科ネットプラス編集部の画像
矯正歯科
ネットプラス
編集部

矯正歯科医になられたきっかけは何ですか?

森崎 彰将 歯科医師の画像
森崎 彰将
歯科医師

私は父方が代々建設業、母方は家具を扱う家業の家庭で育ちました。幼い頃から祖父の影響で手作業に触れる機会が多く、細かい作業や物を整えることが好きな子どもでした。

中学生の頃、前歯の隙間がコンプレックスで、人前で思いきり笑うことができませんでした。思春期ということもあり、笑顔に自信が持てなかったことを今でも覚えています。そこで勇気を出して矯正歯科を受診したことが、私の人生の転機となりました。
歯並びが整い自然に笑えるようになった時、「矯正治療は人の人生を変える力がある」と強く実感したのです。人が笑顔になっていく過程に深く感銘を受け、気がつけば私自身が矯正歯科医師の道を歩み、今に至ります。

現在も患者さんから「笑えるようになりました」「人生が変わりました」と言っていただける瞬間に、この仕事の大きな価値を感じています。矯正治療は単に歯を整えるだけでなく、その人の人生を前向きな方向へ導く医療だと考えています。
歯並びや口元に悩みがある方、人前で笑うことに自信が持てない方は、どんな些細なことでも構いません。ぜひ一度お気軽にご相談ください。

矯正歯科ネットプラス編集部の画像
矯正歯科
ネットプラス
編集部

先生の得意な矯正治療分野や、特に力を入れていることはありますか?

森崎 彰将 歯科医師の画像
森崎 彰将
歯科医師

当クリニックでは、口元の美しさと機能の両立を重視した矯正治療を行っています。特に、口ゴボ(口元の突出感)やEラインの改善、ガミースマイルなど、横顔やスマイルラインの美しさに関わる治療を多く手がけています。単に歯並びを整えるだけでなく、顔貌全体のバランスまで踏まえた治療計画を大切にしています。

治療方法としては、ワイヤー矯正・裏側矯正(舌側矯正)・マウスピース矯正など幅広い装置に対応し、症例に応じて複数の装置を組み合わせたハイブリッド矯正も行っています。患者さんの歯並びや骨格、ライフスタイルを考慮し、お一人おひとりに適した治療方法をご提案します。
また、歯科矯正用アンカースクリューを用いた矯正治療にも取り組んでいます。歯の移動を効率的にコントロールできるため、場合によっては外科手術の回避や、抜歯をせずに治療できる可能性が出てきます。

さらにガミースマイルに対してはオートローテーションを含めた治療計画を立て、口元と顔貌の調和を重視した矯正治療を行っています。埋伏歯の牽引などの複雑な症例にも対応しています。口元や歯並びにお悩みの方は、まず相談から検討してみてください。

矯正歯科ネットプラス編集部の画像
矯正歯科
ネットプラス
編集部

先生の趣味や休日の過ごし方は?

森崎 彰将 歯科医師の画像
森崎 彰将
歯科医師

趣味は旅行と食べ歩きです。特に海外旅行が好きで、イタリア・ベネチアでのゴンドラ体験やギリシャ・サントリーニ島でのバカンスなど、世界各地の名所を訪れてきました。
中でも最も印象に残っているのは、トルコのカッパドキアで体験した気球です。朝焼けの空に無数の気球が浮かぶ壮大な景色は、これまでの旅の中でも特別な体験でした。

近年はヨーロッパを中心に、まだ訪れたことのない国や街を巡りながら、その土地ならではの食文化を楽しんでいます。フィンランドで見たオーロラの美しさも忘れられない思い出の一つです。幼い頃から父の影響で様々な経験ができる環境で育ち、異なる文化や価値観に触れることを大切にしてきました。
こうした経験が多角的な視点を養い、矯正治療において患者さん一人ひとりの個性や背景を大切にした診療にもつながっていると感じています。

また健康維持のために筋トレやウォーキングなど体を動かすことも日課です。矯正歯科治療は日々進化する分野であり、常に新しい知識や技術を学びながら、より良い歯科医療を提供できるよう研鑽を重ねています。

アクセス・住所・診療時間

青山表参道矯正歯科クリニック 紹介の画像
  • アクセス
    東京メトロ各線『表参道駅』A1出口より徒歩1分
  • 住所
    東京都渋谷区神宮前5-2-5 表参道ビル3階 JY
  • 電話
    03-6712-5288
診療時間

※祝日 10:00~13:00 / 14:00~19:00
※研修参加日、学会参加日は休診

支払い方法

  • 現金
  • クレジットカード可
    (VISA、Master card、JCB、American Express、Diners Club)
  • 電子マネー支払い可
  • その他
    (メディカルローン)

青山表参道矯正歯科クリニックのマウスピース矯正について

マウスピース矯正の費用

ハイブリッド型矯正装置(表側ワイヤー+マウスピース型矯正装置) 1,155,000〜1,350,000円
表側矯正(ホワイトワイヤー)+マウスピース型矯正装置(アメリカ製、中国製など) 1,155,000〜1,350,000円

※掲載費用はすべて税込みです。

マウスピース矯正の治療の流れ

当医院での治療の流れを説明します。

1.初診・カウンセリング

まずはお気軽にご相談ください。

2.精密検査

当クリニックでは、口腔内3Dスキャナによって精密なデジタルデータを取得し、歯並びの変化を可視化したシミュレーションを行っています。
また、顔貌写真の撮影も行い、歯並びだけでなく横顔やスマイルラインなど、顔全体のバランスを踏まえた診断を大切にしています。口元の審美性と機能性の両立を目指し、患者さん一人ひとりに合わせた治療計画を提案しています。

マウスピース矯正の治療回数・期間

治療期間:
ハイブリッド型矯正装置(表側ワイヤー+マウスピース型矯正装置) 治療期間:1年6ヶ月
通院回数:
表側装置18回+マウスピース型矯正装置3回

ここが
スゴイ
青山表参道矯正歯科クリニックのマウスピース矯正

当クリニックでは矯正治療を行う際、単に歯を並べるのではなく、顔貌・咬み合わせ・骨格バランス・ライフスタイルまで総合的に評価したうえで治療計画を立案しています。口腔内3Dスキャナによるデジタルデータや精密検査をもとに、患者さん一人ひとりに適した治療プランを提案します。

装置の選択肢についても見た目だけでなく、治療効率や仕上がりの精度を重視し、ワイヤー矯正・裏側矯正・マウスピース矯正などを症例に応じて適切に使い分けています。
必要に応じて複数の装置を組み合わせたハイブリッド矯正も行い、より精密な治療の提供を目指しています。

治療中は定期的な診察と精密な調整を行い、段階的かつ丁寧に歯列と咬合の改善を進めていきます。口元の審美性だけでなく、機能性や清掃性まで考慮した矯正治療の提供を大切にしています。

マウスピース矯正の症例①:
口元の突出感(口ゴボ)を改善したい。横顔のバランスを整え、Eラインをきれいにしたい

治療前
口元の突出感(口ゴボ)を改善したい。横顔のバランスを整え、Eラインをきれいにしたいの治療前の画像
矢印 矢印
治療後
口元の突出感(口ゴボ)を改善したい。横顔のバランスを整え、Eラインをきれいにしたいの治療後の画像

この症例の詳細はこちら

青山表参道矯正歯科クリニックの表側矯正について

表側矯正の費用

表側矯正(ホワイトワイヤー) 1,045,000〜1,250,000円

※掲載費用はすべて税込みです。

表側矯正の治療の流れ

当医院での治療の流れを説明します。

1.初診・カウンセリング

まずはお気軽にご相談ください。

2.精密検査

当クリニックでは、口腔内3Dスキャナによって精密なデジタルデータを取得し、歯並びの変化を可視化したシミュレーションを行っています。
また、顔貌写真の撮影も行い、歯並びだけでなく横顔やスマイルラインなど、顔全体のバランスを踏まえた診断を大切にしています。口元の審美性と機能性の両立を目指し、患者さん一人ひとりに合わせた治療計画をご提案しています。

表側矯正の治療回数・期間

治療期間:
表側ワイヤー 治療期間:2年2ヶ月
通院回数:
表側装置28回

ここが
スゴイ
青山表参道矯正歯科クリニックの表側矯正

当クリニックでは矯正治療を行う際、単に歯を並べるのではなく、顔貌・咬み合わせ・骨格バランス・ライフスタイルまで総合的に評価したうえで治療計画を立案しています。口腔内3Dスキャナによるデジタルデータや精密検査をもとに、患者さん一人ひとりに適した治療プランを提案します。

装置の選択肢についても見た目だけでなく、治療効率や仕上がりの精度を重視し、ワイヤー矯正・裏側矯正・マウスピース矯正などを症例に応じて適切に使い分けています。
必要に応じて複数の装置を組み合わせたハイブリッド矯正も行い、より精密な治療の提供を目指しています。

治療中は定期的な診察と精密な調整を行い、段階的かつ丁寧に歯列と咬合の改善を進めていきます。口元の審美性だけでなく、機能性や清掃性まで考慮した矯正治療の提供を大切にしています。

表側矯正の症例①:
口元の突出感(口ゴボ)を改善し、横顔のバランスを整えてEラインをきれいにしたい。咬み合わせも含めて口元全体を整え、できるだけ目立たない装置で矯正治療を行いたい

治療前
口元の突出感(口ゴボ)を改善し、横顔のバランスを整えてEラインをきれいにしたい。咬み合わせも含めて口元全体を整え、できるだけ目立たない装置で矯正治療を行いたいの治療前の画像
矢印 矢印
治療後
口元の突出感(口ゴボ)を改善し、横顔のバランスを整えてEラインをきれいにしたい。咬み合わせも含めて口元全体を整え、できるだけ目立たない装置で矯正治療を行いたいの治療後の画像

この症例の詳細はこちら

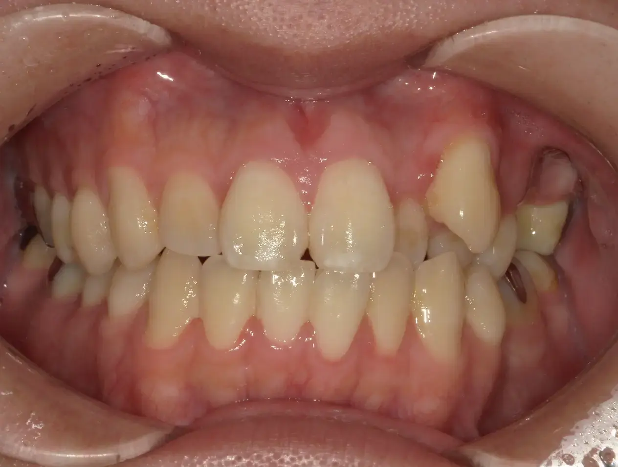
表側矯正の症例②:
八重歯や歯のがたつきを改善し、咬み合わせも含めて歯並び全体を整えたい。できるだけ目立たない装置で矯正治療を行いたい

治療前
八重歯や歯のがたつきを改善し、咬み合わせも含めて歯並び全体を整えたい。できるだけ目立たない装置で矯正治療を行いたいの治療前の画像
矢印 矢印
治療後
八重歯や歯のがたつきを改善し、咬み合わせも含めて歯並び全体を整えたい。できるだけ目立たない装置で矯正治療を行いたいの治療後の画像

この症例の詳細はこちら

青山表参道矯正歯科クリニック
のご予約はこちら

日本矯正歯科学会とは

日本矯正歯科学会とはの画像

日本矯正歯科学会とは歯科矯正学の専門知識や技術の研究や普及を目的とした学術団体です。 矯正歯科の専門家による研究成果の発表や意見交換の場を提供し、矯正歯科医療の質の向上を図っています。

認定医・指導医・臨床医とは

とはの画像

矯正歯科治療に必要な専門知識と十分な臨床経験を備えた歯科医師に対して、日本矯正歯科学会が認定する資格です。
「臨床医」という名称は、以前は「専門医」、その後は「臨床指導医」と呼ばれていましたが、医師としての高度な知識や技術に加え、他の歯科医師や医師と連携し、適切な指示を出せる立場であることを明確にするため、2025年に「臨床医」へと改称されました。
また「指導医」は、今後「研修指導医」という名称へ移行する予定とされています。

日本矯正歯科学会の認定医は、矯正治療に関する専門的な知識と技術をしっかり身につけた歯科医師です。
認定医になるためには以下の条件が必要です。

  • 歯科医師の資格を持っていること
    国家資格である歯科医師免許を取得している必要があります。
  • 学会に長く所属していること
    日本矯正歯科学会に5年以上、継続して所属していることが条件です。
  • 専門的な研修と経験を積んでいること
    学会が認めた研修施設で矯正歯科の基本研修を修了し、その後も含めて少なくとも5年以上、臨床経験を積むことが求められます。
    ※または、それと同等の知識や技術を持っていると判断された場合も認められます。
  • 専門施設での勤務経験
    原則として、研修施設に常勤していることが望まれます。
  • 学術的な活動
    学会が認める学術誌に、矯正歯科に関する研究論文を発表していること。
  • 倫理を守ること
    学会の倫理規定や、医療広告ガイドラインを遵守していること。

指導医は、矯正歯科の臨床経験に加え、後進の育成や教育にも携わる歯科医師です。
指導医になるには以下の条件が必要です。

  • 歯科医師の資格を持っていること
    国家資格である歯科医師免許を取得している必要があります。
  • 長期間の臨床・教育・研究の経験
    矯正歯科の臨床・教育・研究に12年以上専従していることが求められます。
  • 教育歴があること
    矯正歯科臨床に関して、少なくとも3年以上の教育歴が必要です。
  • 学術活動の実績
    矯正歯科分野において、研究発表や論文発表など、相当の学術活動の実績が求められます。

臨床医は、矯正治療の専門家としてさらに高い基準を満たした歯科医師です。
臨床医になるには以下条件が必要です。

  • 歯科医師の資格を持っていること
    国家資格である歯科医師免許が必要です。
  • 認定矯正歯科専門医資格を持っていること
    原則として、日本歯科専門医機構の「認定矯正歯科専門医」の資格を取得していること。
  • 学会認定医であること
    日本矯正歯科学会の「認定医」資格を持っていることが条件です。
  • 長期間の学会所属
    日本矯正歯科学会に7年以上継続して所属している必要があります。
  • 学術活動を行っていること
    学会が認める学術誌や学会で、矯正治療に関する報告や発表をしていること。
  • 倫理とガイドラインを守ること
    学会の倫理規定や、厚生労働省・学会が定める医療広告ガイドラインを遵守していること。

参考:日本矯正歯科学会サイト

メディカルネット顧問歯科医師:常盤 肇

これらの資格を有する歯科医師は、矯正歯科治療に関する研修や学会活動に取り組み、日々知識や技術を磨いています。歯科医院を選ぶ際のひとつの参考として、気になる方はチェックしてみてください。

まとめ

いかがでしたか?矯正歯科ネットプラス編集部がおすすめする東京都渋谷区で認定医・指導医・臨床医がいる矯正歯科医院をご紹介しました。
東京都渋谷区には、アクセスしやすい医院や休日診療など、患者さんのお悩みに対応したクリニックがたくさんあります。
お口のお悩み、通院のお悩みに合わせ、まずは編集部おすすめの認定医・指導医・臨床医がいる矯正歯科医院で相談してみてはいかがでしょうか。

矯正歯科ネットプラス編集部

この記事の執筆者

矯正歯科ネットプラス編集部

矯正歯科ネットプラス編集部は、メディカルネットが運営する矯正歯科に特化した情報サイト「矯正歯科ネットプラス」で日々配信を行っています。

保有資格について

矯正歯科ネットプラス編集部には、歯科医師・歯科衛生士が在籍しております。

関連記事 Related articles

おすすめ矯正歯科

矯正治療を検討する際「どんな治療方法に対応しているか」や
「通いやすい場所にあるか」なども重要なポイントです。
当サイトでは、マウスピース矯正や裏側矯正などの治療法別、
またエリア別にも矯正歯科医院を紹介しています。

おすすめ矯正歯科を見る