きれいな歯並びは
歯医者選びから!

【2026年】北海道札幌市で認定医・指導医・臨床医がいるおすすめ矯正歯科

北海道札幌市で認定医・指導医・臨床医がいるおすすめ矯正歯科の画像

北海道札幌市の認定医・指導医・臨床医がいるおすすめの歯医者さん(矯正歯科)をご紹介します。
北海道札幌市で歯列矯正治療をするならどこのクリニック?何に注目して選ぶべき?そんなお悩みがある方に本記事はおすすめです。

この記事で紹介する北海道札幌市で認定医・指導医・臨床医がいるおすすめの矯正歯科医院は下記の通りです。

  • 笹本歯科・矯正歯科
  • リフレ矯正歯科クリニック

矯正歯科医院選びの参考として、アクセスや診療時間などの基本情報や医院ごとの特長、院内写真などを掲載しています。矯正治療を検討中の方はぜひ読んでみてください。

※2026年4月時点 おすすめしたい歯科医院は、株式会社メディカルネットが20年以上にわたり歯科医院情報サイトを運営して得た情報に基づき掲載しております。
治療法の選択肢が多い、通院しやすい立地、充実した設備・医療機器に加えて、日曜診療や夜間診療対応、アフターケアや保証の有無などを基準に医院を選定しています。

※本ページにはプロモーションが含まれています。

【2026年】北海道札幌市で認定医・指導医・臨床医がいるおすすめ矯正歯科

笹本歯科・矯正歯科のご紹介

笹本歯科は、札幌市営地下鉄東西線「西18丁目駅」から徒歩2分と通院しやすい場所にある矯正歯科です。ワイヤー矯正を中心とした本格的な矯正治療を行っており、歯の移動量が大きい症例や、噛み合わせ・骨格まで考慮が必要な症例にも幅広く対応しています。

治療精度を高めるため、院内では三次元で撮影できる3D口腔内スキャナを導入。印象材を口にはめる歯型取りと比べて精度の高いデータを短時間で取得できます。また、ワイヤー矯正を含む治療計画の立案やシミュレーションにも活用されています。

一方で、症例やライフスタイルに応じた選択肢として、アメリカ製や日本製のマウスピース矯正型装置を使用したマウスピース矯正にも対応。装置が目立ちにくく、取り外しができる特性を活かし、適応が可能な症例を見極めたうえで提案しています。また、症例によってはワイヤー矯正とマウスピース矯正を組み合わせるハイブリッドな治療も可能です。

矯正治療は、日本矯正歯科学会認定医である笹本さえら先生が担当。歯並びだけでなく、噛み合わせや骨格バランスまで見据えた総合的な診断・治療が受けられます。
小児期からの管理にも力を入れており、成長段階に配慮した矯正治療を通じて、将来を見据えた口腔環境づくりをサポートしています。

笹本歯科・矯正歯科・日本矯正歯科学会認定医・笹本 さえら

笹本 さえら 歯科医師の画像

きれいになることで人生が前へ動く瞬間を届けたい

大学病院の矯正歯科で症例の現場に携わり、日本矯正歯科学会認定医として知識と技術を積み重ねてきました。矯正治療は見た目を整えるだけではなく、噛み合わせや骨格との調和を図ることで、長期的に安定した状態へ導くことが重要だと考えています。そのため当院では一般の歯科とも密に連携し、虫歯や歯周病の管理、補綴治療(ほてつちりょう)の検討まで含めた総合的なアプローチを大切にしています。
また、患者さんとの対話を特に重視し、疑問や不安が残ったまま治療が進まないよう、選択肢の違いや治療の意味をわかりやすくお伝えすることを心がけています。
私自身、子育て中の親としての視点もあり、お子さんへの接し方や保護者の気持ちに寄り添った治療提案も得意です。矯正治療によって表情が明るくなり、日常がより前向きになるお手伝いができれば嬉しく思います。どんな小さなことでも気軽にご相談ください。

笹本 さえら先生にインタビュー!

矯正歯科ネットプラス編集部の画像
矯正歯科
ネットプラス
編集部

先生の趣味や休日の過ごし方は?

笹本 さえら 歯科医師の画像
笹本 さえら
歯科医師

料理が一番の趣味で、味だけでなく見た目の美しさにもこだわりながら作る時間がとても好きです。料理に合わせてテーブルコーディネートを考えるのも楽しみの一つで、器や小物を選ぶだけで気分が変わるところに魅力を感じています。

週末は、エネルギーいっぱいの2人の息子と外で思いきり遊ぶことが多く、子どもと過ごす時間が良いリフレッシュになっています。気になったカフェにふらっと立ち寄ったり、話題のお店を訪れて食べ歩きをすることもあります。
もともと可愛いものや美しいものが好きで、小物やインテリア、絵、メイク用品、ファッションなど、心が動くアイテムを見つけるとつい手に取りたくなります。
音楽も好きで、ロックを中心に聴くことが多く、時間が合えばライブに足を運ぶこともあります。忙しい日々の中でも、“好きなものに触れる時間”を大切にしています。

矯正歯科ネットプラス編集部の画像
矯正歯科
ネットプラス
編集部

矯正歯科医になられたきっかけは何ですか?

笹本 さえら 歯科医師の画像
笹本 さえら
歯科医師

歯科医師である両親の姿を見て育ったことから、この仕事には幼い頃から親しみがありました。学生の頃は自分の歯の凸凹が気になっていて、歯科大学で矯正学を学ぶ中で「治療によってどのように変化するのか」を知り、まずは自分自身が矯正治療を受けてみようと思ったのが最初のきっかけです。

実際に治療を進めていくと、歯並びが整うだけで毎日の気持ちが前向きになり、コンプレックスが少しずつ解消されていく経験をしました。口元が与える印象の大きさを実感し、「歯並びが変わるだけで、人はこんなにも表情が明るくなるのだ」と強く感じた瞬間でもあります。
さらに、歯が重なっていると磨きにくく、将来の健康にも影響することを学び、見た目と機能の両方を整えられる矯正治療の奥深さに惹かれました。自分の人生を前向きにしてくれた矯正治療を、今度は患者さんに届けたいという思いから、この道を選びました。

矯正歯科ネットプラス編集部の画像
矯正歯科
ネットプラス
編集部

先生の得意な矯正治療分野や、特に力を入れていることはありますか?

笹本 さえら 歯科医師の画像
笹本 さえら
歯科医師

「口ゴボ」「出っ歯」などの、口元が前に出た状態の改善を得意としています。歯の位置関係や顎のバランスを精密に分析したうえで、必要に応じて抜歯を行う矯正治療により、横顔のバランスまで整えることを重視しています。見た目の変化だけでなく、噛み合わせや機能面も含めた総合的な改善を目指しています。
突出感の改善では、十分な後方移動量を確保するために抜歯が必要となるケースが多いです。患者さんに、医学的根拠についても丁寧に説明しています。
一方で、「できるだけ歯を抜きたくない」という患者さんの気持ちにも配慮し、骨格や歯列の状態によっては、限定的な条件下で非抜歯治療が可能かどうかを慎重に検討しています。
また、矯正治療と補綴治療を組み合わせることで、仕上がりの完成度を高めるケースにも対応が可能です。装置についても複数の選択肢を用意し、治療効果を最優先としながら、生活スタイルや審美面への配慮を踏まえた提案を行っています。
単なる歯並びの改善にとどまらず、長期的に安定し、日常生活にも良い影響をもたらす口元づくりを大切にしています。

アクセス・住所・診療時間

笹本歯科・矯正歯科 紹介の画像
  • アクセス
    札幌市営地下鉄東西線『西18丁目駅』3番出口より徒歩2分
  • 住所
    北海道札幌市中央区北1条西19-1-1 ラトゥール1階
  • 電話
    011-644-3718
診療時間

※土曜 09:00〜13:00 / 14:00〜17:00(矯正歯科あり)
※矯正治療及び矯正相談は、月・水の9:00~13:00と土曜に行っております
※火・木・金曜は一般診療のみ(矯正歯科の相談はありませんが電話は繋がります)
※日曜・祝日は休診日

支払い方法

  • 現金
  • クレジットカード可
    (VISA、Master card、JCB、American Express、Diners Club)
  • その他
    (デンタルローン)

笹本歯科・矯正歯科の表側矯正について

表側矯正の費用

表側矯正 638,000円
【表側矯正】ホワイトワイヤー ・片顎 ※通常料金に追加  1,650円
【表側矯正】ホワイトワイヤー ・両顎 ※通常料金に追加 1,650円~3,300円
【表側矯正】セラミックブラケット ※通常料金に追加 44,000円

※掲載費用はすべて税込みです。

表側矯正の治療の流れ

当医院での治療の流れを説明します。

初診相談

矯正治療をご検討されている方に、簡単な診査をもとにおおまかな治療の流れや料金について説明します。

検査

矯正の診断に必要な資料(レントゲン写真、歯の型取り、口腔内や顔の写真など)を採取します。この資料を用いて、診断のための分析を行います。

診断

検査結果をもとに、現在の問題点、具体的な治療内容、使用する装置、治療期間の目安などを詳しく説明します。

表側矯正の治療回数・期間

治療期間:
表側矯正 約2年
通院回数:
表側矯正 15回~20回

ここが
スゴイ
笹本歯科・矯正歯科の表側矯正

当院の表側矯正は、確実な歯のコントロールを第一に考えつつ、治療中の見た目にも細やかに配慮しています。目立ちにくい審美ブラケットやホワイトワイヤーを使用し、装置が気になって笑顔に自信を持てない期間をできるだけ短くすることを重視。
また、患者さん一人ひとりのライフスタイルや希望に合わせて装置を選択し、機能性と審美性を両立した快適な治療環境を提供しています。表側矯正でも「目立たず、安心して通える」を大切にしています。

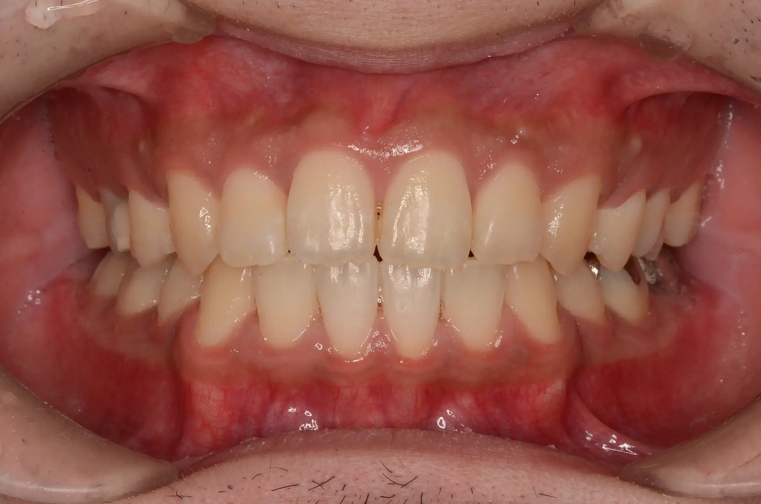
表側矯正の症例①:
歯全体の凸凹と口元の突出感

治療前
歯全体の凸凹と口元の突出感の治療前の画像
矢印 矢印
治療後
歯全体の凸凹と口元の突出感の治療後の画像

この症例の詳細はこちら

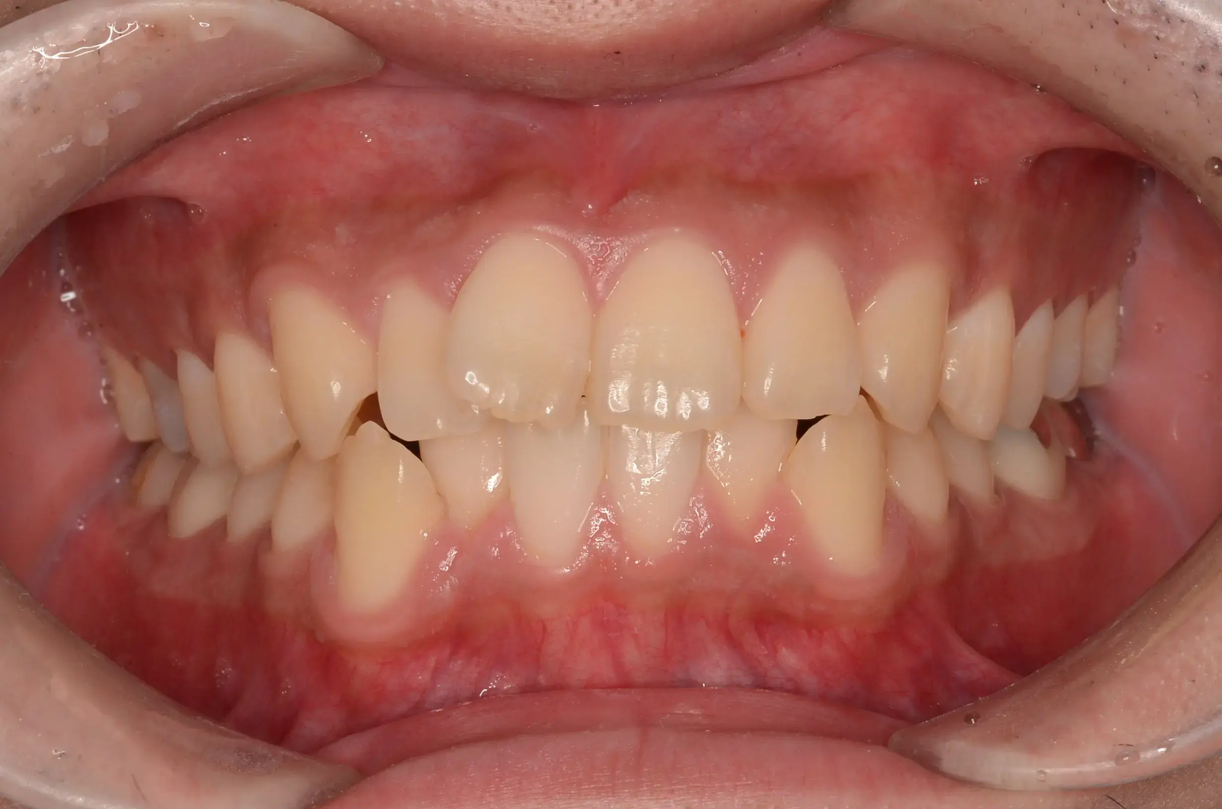
表側矯正の症例②:
歯全体の凸凹と前歯で咬めない

治療前
歯全体の凸凹と前歯で咬めないの治療前の画像
矢印 矢印
治療後
歯全体の凸凹と前歯で咬めないの治療後の画像

この症例の詳細はこちら

笹本歯科・矯正歯科のマウスピース矯正について

マウスピース矯正の費用

マウスピース矯正 220,000円~858,000円

※掲載費用はすべて税込みです。

マウスピース矯正の治療の流れ

当医院での治療の流れを説明します。

初診相談

矯正治療をご検討されている方に、簡単な診査をもとにおおまかな治療の流れや料金について説明します。

検査

矯正の診断に必要な資料(レントゲン写真、歯の型取り、口腔内や顔の写真など)を採取します。この資料を用いて、診断のための分析を行います。

診断

検査結果をもとに、現在の問題点、具体的な治療内容、使用する装置、治療期間の目安などを詳しく説明します。

装置作製の準備

診断の結果を聞いて同意して頂けた後、装置を作製するための型取りをします。

マウスピース矯正の治療回数・期間

治療期間:
3か月~2年
通院回数:
約10回

ここが
スゴイ
笹本歯科・矯正歯科のマウスピース矯正

当院のマウスピース矯正は、3D口腔内スキャナによる精密な歯型取りで、一人ひとりに合わせたオーダーメイドのマウスピースを作製します。透明で目立ちにくく、取り外しも可能なため、食事や歯磨きに支障が少なく、日常生活をほとんど変えずに治療を進められます。
単独でのマウスピース矯正が難しい症例には、必要に応じてワイヤー矯正と組み合わせ、複雑な歯並びや噛み合わせも整えることが可能です。治療中の快適さと高い精度を両立し、患者さんの笑顔と自信を守ることを最優先にしています。

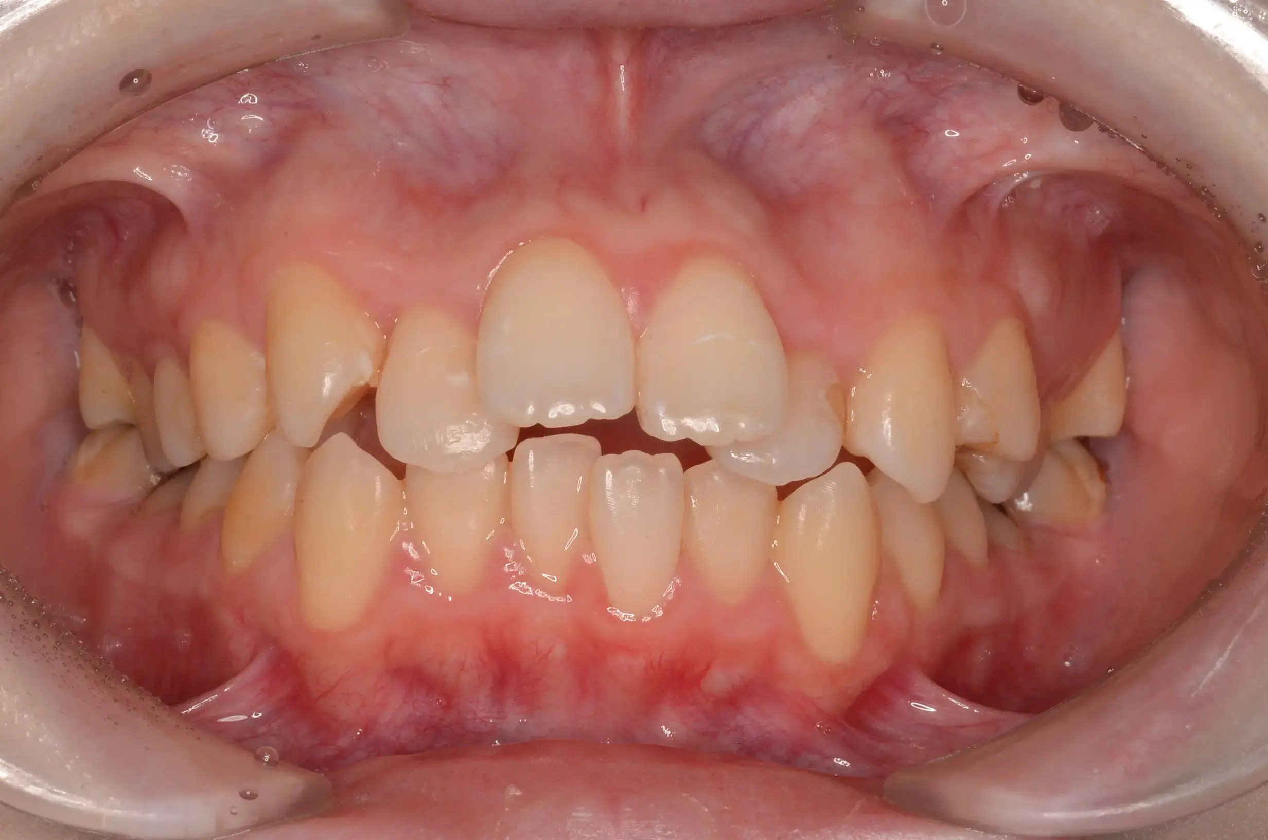
マウスピース矯正の症例①:
前歯で食べ物が咬めない

治療前
前歯で食べ物が咬めないの治療前の画像
矢印 矢印
治療後
前歯で食べ物が咬めないの治療後の画像

この症例の詳細はこちら

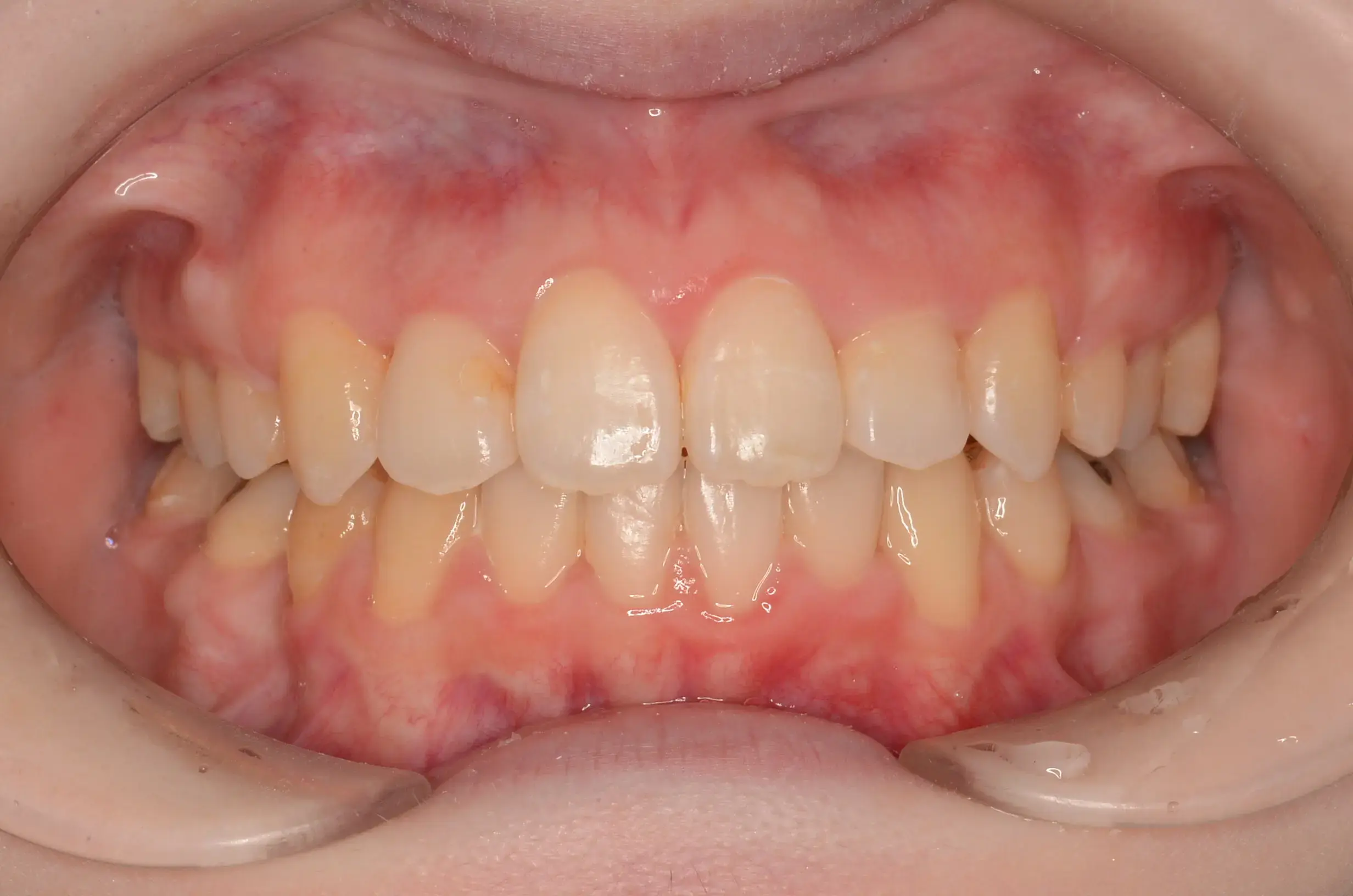
マウスピース矯正の症例②:
前歯の凸凹、咬み合わせが逆になっている部分がある

治療前
前歯の凸凹、咬み合わせが逆になっている部分があるの治療前の画像
矢印 矢印
治療後
前歯の凸凹、咬み合わせが逆になっている部分があるの治療後の画像

この症例の詳細はこちら

笹本歯科・矯正歯科の部分矯正について

部分矯正の費用

部分矯正 110,000円~275,000円

※掲載費用はすべて税込みです。

部分矯正の治療の流れ

当医院での治療の流れを説明します。

初診相談

矯正治療をご検討されている方に、簡単な診査をもとにおおまかな治療の流れや料金について説明します。

検査

矯正の診断に必要な資料(レントゲン写真、歯の型取り、口腔内や顔の写真など)を採取します。この資料を用いて、診断のための分析を行います。

診断

検査結果をもとに、現在の問題点、具体的な治療内容、使用する装置、治療期間の目安などを詳しく説明します。

装置作製の準備

診断の結果を聞いて同意して頂けた後、装置を作製するための型取りをします。

部分矯正の治療回数・期間

治療期間:
3か月~1年半
通院回数:
4回~10回

ここが
スゴイ
笹本歯科・矯正歯科の部分矯正

当院の部分矯正は、マウスピース矯正でもワイヤー矯正でも対応可能で、気になる部分だけを効率的に整えていきます。前歯の軽度なずれや隙間の改善、噛み合わせの調整など、患者さんの希望に合わせた柔軟な治療が可能です。
また、一般治療と組み合わせることで、虫歯や歯周病の治療と並行しながら矯正を進められるため、口腔内の健康を維持しつつ見た目も改善しやすくなります。また短期間で負担を抑えた治療と自然な歯並びになるよう努めています。

笹本歯科・矯正歯科 特長の画像

笹本歯科・矯正歯科
のご予約はこちら

リフレ矯正歯科クリニックのご紹介

札幌市にあるリフレ矯正歯科クリニックは、地下鉄南北線「澄川駅」西出口から徒歩約2分と、電車で通院しやすい立地にあります。

患者さんそれぞれの口腔内の状態だけでなく、ライフスタイルや背景にも配慮しながら、一人ひとりに適したオーダーメイドの治療計画を提案している点が特徴です。初診時には丁寧なカウンセリングの時間を設け、不安や疑問を解消できるよう十分な説明が行われています。

院内にはキッズスペースが用意されており、小さなお子さん連れでも通いやすい環境が整っています。また、ビル1階には専用駐車場が2台分確保されているため、車での来院にも対応可能です。

このほか、同クリニックは地域の歯科医院との連携体制を築いており、必要に応じて紹介するなど、虫歯や歯周病といった矯正以外の治療にも柔軟に対応。抜歯や顎変形症といった一般的な歯科治療とは異なる知識・技術が求められる治療については、大学病院や専門医療機関と協力しながら進めていくことができるそうです。

リフレ矯正歯科クリニック・日本矯正歯科学会認定医・工藤 悠介

工藤 悠介 歯科医師の画像

美しい歯並びを叶える、未来の輝く自分へ!

大学の矯正専門講座で7年間研鑽を積んだ後、訪問診療や一般的な歯科治療にも13年間携わり、幅広い症例に対応してきました。そうした経験を背景に、現在は一人ひとりと丁寧に向き合える矯正治療に力を入れています。これまで培った知識により、さまざまな症状やご要望にも柔軟に対応できる点が強みです。治療後のメインテナンスや予防も含め、長期的な視点でサポートしています。

矯正治療では「個性正常咬合(※)」を重視しています。見た目やライフスタイル、費用面など患者さんの背景も踏まえ、医学的な正しさを押し付けるのではなく、専門的な見解を共有したうえで理想のゴールをすり合わせていくことを大切にしています。患者さんにとって納得できる噛み合わせを共に目指します。

※一人ひとり異なる歯の形・大きさ・顎の骨格を踏まえ、機能的にも形態的にも適した噛み合わせのことを「個性正常咬合(こせいせいじょうこうごう)」といいます。

工藤 悠介先生にインタビュー!

矯正歯科ネットプラス編集部の画像
矯正歯科
ネットプラス
編集部

先生の趣味や休日の過ごし方は?

工藤 悠介 歯科医師の画像
工藤 悠介
歯科医師

休日は、デジタルとアナログの両方をバランスよく楽しんでいます。最近はAIに触れるのが面白く、新しい技術に触れる時間も大切にしています。一方で、リラックスしたいときには漫画を読んで気分転換をすることも多いです。

また、子どもと一緒に遊びに出かけるなど、家族との時間も大事にしています。さらに、同業の先生方との食事会にも参加しており、矯正治療について意見交換をしたり、日常のことをざっくばらんに話したりしています。

矯正分野に限らず、他分野の先生方とも交流することで、新しい気づきや刺激を得られるのが楽しみの一つです。

矯正歯科ネットプラス編集部の画像
矯正歯科
ネットプラス
編集部

矯正歯科医になられたきっかけは何ですか?

工藤 悠介 歯科医師の画像
工藤 悠介
歯科医師

私が矯正歯科医を志したきっかけは、矯正治療が単に歯を並べるだけの歯科医療ではなく、顎顔面全体の形態や機能、さらには患者さんの見た目や心理面にまで大きく関わる点に魅力を感じたからです。歯並びや咬み合わせを整えることが、長期的なお口の健康だけでなく、自信を持って日常生活を送ることにもつながる。その価値の広さに強く惹かれました。

また、矯正治療では医学的に正しいゴールを設定することが重要である一方で、患者さん一人ひとりの希望や価値観を尊重することも欠かせません。歯科医師主導でも、患者さん任せでもない「共同意思決定」によって理想の治療を導き出していくプロセスにもやりがいを感じています。さらに、装置や治療法にとらわれず、多様な選択肢の中から最適解を考えることこそが矯正医の役割だと考え、この分野に進むことを決めました。

矯正歯科ネットプラス編集部の画像
矯正歯科
ネットプラス
編集部

先生の得意な矯正治療分野や、特に力を入れていることはありますか?

工藤 悠介 歯科医師の画像
工藤 悠介
歯科医師

私は、特定の治療法や装置にこだわりすぎないことを常に意識しています。矯正治療の目的は「どの装置を使うか」ではなく、見た目・機能・安定性を含めたゴールにきちんと到達することだと考えているからです。実際、矯正装置にはそれぞれ適応や限界があり、症例によって適した方法は大きく異なります。

そのため私は、表側矯正・マウスピース矯正・舌側矯正(裏側矯正)など複数の選択肢を前提に、診断結果と患者さんのご希望を踏まえながらより良い治療法を一緒に考えることを大切にしています。
特に力を入れているのは、顎顔面全体のバランスや咬み合わせまで含めた総合的な診断と治療計画です。単に歯並びを整えるだけでなく、長期的に安定し、機能的にも無理のない状態を目指すことが重要だと考えています。

また、治療の選択肢を広く持つことで、患者さんのライフスタイルや価値観にも寄り添った提案が可能になります。医学的な正しさを軸にしながらも、一人ひとりにとって納得できる治療を実現することこそが、私が特に大切にしている姿勢です。

アクセス・住所・診療時間

リフレ矯正歯科クリニック 紹介の画像
  • アクセス
    札幌市営地下鉄南北線『澄川駅』より徒歩2分
  • 住所
    北海道札幌市南区澄川3条2丁目4-5 サンセリテ澄川3階
  • 電話
    011-816-4182
診療時間

※水曜・祝日は休診日です。
※第1木曜は休診です。
※第2・3・4日曜は休診です。

支払い方法

  • 現金
  • クレジットカード可
    (VISA、Master card、JCB、American Express、Diners Club)
  • その他
    (院内分割、デンタルローン)

リフレ矯正歯科クリニックの表側矯正について

表側矯正の費用

【表側矯正】白ブラケット/銀ワイヤー 616,000円(税込)
【表側矯正】白ブラケット/白ワイヤー 693,000円(税込)

※掲載費用はすべて税込みです。

表側矯正の治療の流れ

当医院での治療の流れを説明します。

カウンセリング

本格的な検査の前に、お口の状態を簡単に確認しながら、考えられる治療方法や装置の種類、治療期間の目安、費用についてご説明します。疑問や不安があれば、この段階でお気軽にご相談ください。

検査

より正確な診断のために、お口の中やお顔の写真撮影、レントゲン・3DCT撮影、口腔内スキャンなどを行います。見た目だけでなく、骨格や歯の位置関係まで詳しく把握していきます。

診断・治療計画のご説明

検査結果をもとに分析を行い、患者さまに適した治療計画をご提案します。治療期間や費用、使用する装置、注意点などを分かりやすくご説明し、必要に応じて複数の選択肢もご提示します。

※虫歯や歯周病の治療、抜歯などが必要な場合は、適切な医療機関をご紹介することがあります。

矯正装置製作の準備

治療内容にご同意いただいた後、装置の作製に進みます。一人ひとりのお口に合わせた装置を作るため、スキャンや型取りを行います。

矯正装置の装着

装置を装着し、いよいよ治療がスタートします。装着後は、日常生活での注意点や歯磨き方法についても丁寧にご説明します。定期的に通院しながら、少しずつ歯を理想的な位置へと動かしていきます。

装置撤去、後戻り防止装置の準備

歯の移動が完了したら、これまでの装置を外し、後戻りを防ぐための装置(リテーナー)を作製します。

後戻り装置装着

治療後の歯並びを安定させるため、保定装置を装着します。最初は短い間隔で、その後は数か月ごとの通院に切り替えながら、長期的に状態を維持していきます。

表側矯正の治療回数・期間

治療期間:
1年半〜2年半
通院回数:
18〜30回

ここが
スゴイ
リフレ矯正歯科クリニックの表側矯正

歯の表面に装置を装着する表側矯正は、幅広い症例に対応できる治療方法です。当院では従来の金属装置に加え、白や透明など目立ちにくい装置も取り揃え、見た目への不安に配慮しています。

歯の動きを細かくコントロールできるため、複雑な歯並びや大きな移動が必要なケースにも対応しやすいのが特長です。審美性と機能性のバランスを大切にしながら、患者さま一人ひとりのご希望やライフスタイルに合わせた治療計画をご提案しています。

リフレ矯正歯科クリニックの裏側矯正について

裏側矯正の費用

【裏側矯正】上下:裏側ブラケット・ワイヤー 935,000円(税込)
【ハーフリンガル】上:裏側ブラケット・ワイヤー、下:表側白ブラケット・白ワイヤー 825,000円(税込)

※掲載費用はすべて税込みです。

裏側矯正の治療の流れ

当医院での治療の流れを説明します。

カウンセリング

本格的な検査の前に、お口の状態を簡単に確認しながら、考えられる治療方法や装置の種類、治療期間の目安、費用についてご説明します。疑問や不安があれば、この段階でお気軽にご相談ください。

検査

より正確な診断のために、お口の中やお顔の写真撮影、レントゲン・3DCT撮影、口腔内スキャンなどを行います。見た目だけでなく、骨格や歯の位置関係まで詳しく把握していきます。

診断・治療計画のご説明

検査結果をもとに分析を行い、患者さまに適した治療計画をご提案します。治療期間や費用、使用する装置、注意点などを分かりやすくご説明し、必要に応じて複数の選択肢もご提示します。

※虫歯や歯周病の治療、抜歯などが必要な場合は、適切な医療機関をご紹介することがあります。

矯正装置製作の準備

治療内容にご同意いただいた後、装置の作製に進みます。一人ひとりのお口に合わせた装置を作るため、スキャンや型取りを行います。

矯正装置の装着

装置を装着し、いよいよ治療がスタートします。装着後は、日常生活での注意点や歯磨き方法についても丁寧にご説明します。定期的に通院しながら、少しずつ歯を理想的な位置へと動かしていきます。

装置撤去、後戻り防止装置の準備

歯の移動が完了したら、これまでの装置を外し、後戻りを防ぐための装置(リテーナー)を作製します。

後戻り装置装着

治療後の歯並びを安定させるため、保定装置を装着します。最初は短い間隔で、その後は数か月ごとの通院に切り替えながら、長期的に状態を維持していきます。

裏側矯正の治療回数・期間

治療期間:
2年〜2年半
通院回数:
24〜30回

ここが
スゴイ
リフレ矯正歯科クリニックの裏側矯正

歯の裏側に装置を装着する裏側矯正は、周囲からほとんど気づかれにくく、見た目を重視する方に適した治療方法です。一方で発音のしづらさや違和感が生じることもあるため、当院では表側と裏側を組み合わせたハーフリンガル矯正にも対応し、日常生活への影響をできるだけ軽減できるよう工夫しています。

また、症例によっては裏側矯正で効率的に歯を動かした後、マウスピースで仕上げるハイブリッド治療も可能です。見た目と効率の両立を図る柔軟な治療計画をご提案しています。

リフレ矯正歯科クリニックのマウスピース矯正について

マウスピース矯正の費用

【マウスピース矯正】 616,000円~825,000円(税込)

※掲載費用はすべて税込みです。

マウスピース矯正の治療の流れ

当医院での治療の流れを説明します。

カウンセリング

本格的な検査の前に、お口の状態を簡単に確認しながら、考えられる治療方法や装置の種類、治療期間の目安、費用についてご説明します。疑問や不安があれば、この段階でお気軽にご相談ください。

検査

より正確な診断のために、お口の中やお顔の写真撮影、レントゲン・3DCT撮影、口腔内スキャンなどを行います。見た目だけでなく、骨格や歯の位置関係まで詳しく把握していきます。

診断・治療計画のご説明

検査結果をもとに分析を行い、患者さまに適した治療計画をご提案します。治療期間や費用、使用する装置、注意点などを分かりやすくご説明し、必要に応じて複数の選択肢もご提示します。

※虫歯や歯周病の治療、抜歯などが必要な場合は、適切な医療機関をご紹介することがあります。

矯正装置製作の準備

治療内容にご同意いただいた後、装置の作製に進みます。一人ひとりのお口に合わせた装置を作るため、スキャンや型取りを行います。

矯正装置の装着

装置を装着し、いよいよ治療がスタートします。装着後は、日常生活での注意点や歯磨き方法についても丁寧にご説明します。定期的に通院しながら、少しずつ歯を理想的な位置へと動かしていきます。

装置撤去、後戻り防止装置の準備

歯の移動が完了したら、これまでの装置を外し、後戻りを防ぐための装置(リテーナー)を作製します。

後戻り装置装着

治療後の歯並びを安定させるため、保定装置を装着します。最初は短い間隔で、その後は数か月ごとの通院に切り替えながら、長期的に状態を維持していきます。

マウスピース矯正の治療回数・期間

治療期間:
1年半〜2年半
通院回数:
18〜30回

ここが
スゴイ
リフレ矯正歯科クリニックのマウスピース矯正

透明で目立ちにくく、取り外しができるマウスピース矯正は、日常生活への影響を抑えながら治療を進められる方法です。一方で、対応できる歯の動きには限界があるため、治療計画の精度と対応力が重要になります。

当院ではマウスピース矯正に限定せず、ワイヤー矯正にも対応できる体制を整えているため、治療経過に応じてより適した方法へ柔軟に切り替えることが可能です。万が一マウスピース矯正だけでは難しいケースでも追加費用なく対応し、最後まで責任をもって治療を完了させます。

リフレ矯正歯科クリニック 特長の画像

リフレ矯正歯科クリニック
のご予約はこちら

日本矯正歯科学会とは

日本矯正歯科学会とはの画像

日本矯正歯科学会とは歯科矯正学の専門知識や技術の研究や普及を目的とした学術団体です。 矯正歯科の専門家による研究成果の発表や意見交換の場を提供し、矯正歯科医療の質の向上を図っています。

認定医・指導医・臨床医とは

とはの画像

矯正歯科治療に必要な専門知識と十分な臨床経験を備えた歯科医師に対して、日本矯正歯科学会が認定する資格です。
「臨床医」という名称は、以前は「専門医」、その後は「臨床指導医」と呼ばれていましたが、医師としての高度な知識や技術に加え、他の歯科医師や医師と連携し、適切な指示を出せる立場であることを明確にするため、2025年に「臨床医」へと改称されました。
また「指導医」は、今後「研修指導医」という名称へ移行する予定とされています。

日本矯正歯科学会の認定医は、矯正治療に関する専門的な知識と技術をしっかり身につけた歯科医師です。
認定医になるためには以下の条件が必要です。

  • 歯科医師の資格を持っていること
    国家資格である歯科医師免許を取得している必要があります。
  • 学会に長く所属していること
    日本矯正歯科学会に5年以上、継続して所属していることが条件です。
  • 専門的な研修と経験を積んでいること
    学会が認めた研修施設で矯正歯科の基本研修を修了し、その後も含めて少なくとも5年以上、臨床経験を積むことが求められます。
    ※または、それと同等の知識や技術を持っていると判断された場合も認められます。
  • 専門施設での勤務経験
    原則として、研修施設に常勤していることが望まれます。
  • 学術的な活動
    学会が認める学術誌に、矯正歯科に関する研究論文を発表していること。
  • 倫理を守ること
    学会の倫理規定や、医療広告ガイドラインを遵守していること。

指導医は、矯正歯科の臨床経験に加え、後進の育成や教育にも携わる歯科医師です。
指導医になるには以下の条件が必要です。

  • 歯科医師の資格を持っていること
    国家資格である歯科医師免許を取得している必要があります。
  • 長期間の臨床・教育・研究の経験
    矯正歯科の臨床・教育・研究に12年以上専従していることが求められます。
  • 教育歴があること
    矯正歯科臨床に関して、少なくとも3年以上の教育歴が必要です。
  • 学術活動の実績
    矯正歯科分野において、研究発表や論文発表など、相当の学術活動の実績が求められます。

臨床医は、矯正治療の専門家としてさらに高い基準を満たした歯科医師です。
臨床医になるには以下条件が必要です。

  • 歯科医師の資格を持っていること
    国家資格である歯科医師免許が必要です。
  • 認定矯正歯科専門医資格を持っていること
    原則として、日本歯科専門医機構の「認定矯正歯科専門医」の資格を取得していること。
  • 学会認定医であること
    日本矯正歯科学会の「認定医」資格を持っていることが条件です。
  • 長期間の学会所属
    日本矯正歯科学会に7年以上継続して所属している必要があります。
  • 学術活動を行っていること
    学会が認める学術誌や学会で、矯正治療に関する報告や発表をしていること。
  • 倫理とガイドラインを守ること
    学会の倫理規定や、厚生労働省・学会が定める医療広告ガイドラインを遵守していること。

参考:日本矯正歯科学会サイト

メディカルネット顧問歯科医師:常盤 肇

これらの資格を有する歯科医師は、矯正歯科治療に関する研修や学会活動に取り組み、日々知識や技術を磨いています。歯科医院を選ぶ際のひとつの参考として、気になる方はチェックしてみてください。

まとめ

いかがでしたか?矯正歯科ネットプラス編集部がおすすめする北海道札幌市で認定医・指導医・臨床医がいる矯正歯科医院をご紹介しました。
北海道札幌市には、アクセスしやすい医院や休日診療など、患者さんのお悩みに対応したクリニックがたくさんあります。
お口のお悩み、通院のお悩みに合わせ、まずは編集部おすすめの認定医・指導医・臨床医がいる矯正歯科医院で相談してみてはいかがでしょうか。

矯正歯科ネットプラス編集部

この記事の執筆者

矯正歯科ネットプラス編集部

矯正歯科ネットプラス編集部は、メディカルネットが運営する矯正歯科に特化した情報サイト「矯正歯科ネットプラス」で日々配信を行っています。

保有資格について

矯正歯科ネットプラス編集部には、歯科医師・歯科衛生士が在籍しております。

関連記事 Related articles

おすすめ矯正歯科

矯正治療を検討する際「どんな治療方法に対応しているか」や
「通いやすい場所にあるか」なども重要なポイントです。
当サイトでは、マウスピース矯正や裏側矯正などの治療法別、
またエリア別にも矯正歯科医院を紹介しています。

おすすめ矯正歯科を見る