きれいな歯並びは
歯医者選びから!

【2026年】恵比寿駅周辺でインビザライン取り扱いおすすめ矯正歯科

恵比寿駅周辺でインビザライン取り扱いおすすめ矯正歯科の画像

恵比寿駅周辺でインビザラインができるおすすめの歯医者さん(矯正歯科)をご紹介します。
恵比寿駅周辺でインビザラインをするならどこのクリニック?何に注目して選ぶべき?そんなお悩みがある方に本記事はおすすめです。

この記事で紹介する恵比寿駅周辺でインビザラインに対応しているおすすめの矯正歯科医院は下記の通りです。

  • RIVER CLINIC DENTAL

矯正歯科医院選びの参考として、アクセスや診療時間などの基本情報や医院ごとの特長、院内写真などを掲載しています。
インビザラインを検討中の方はぜひ読んでみてください。

※2026年3月時点 おすすめしたい歯科医院は、株式会社メディカルネットが20年以上にわたり歯科医院情報サイトを運営して得た情報に基づき掲載しております。
治療法の選択肢が多い、通院しやすい立地、充実した設備・医療機器に加えて、日曜診療や夜間診療対応、アフターケアや保証の有無などを基準に医院を選定しています。

※本ページにはプロモーションが含まれています。

【2026年】恵比寿駅周辺でインビザライン取り扱いおすすめ矯正歯科

アクセス・住所・診療時間

  • アクセス
    JR山手線・埼京線『恵比寿駅』西口より徒歩約1分
    東京メトロ日比谷線『恵比寿駅』2番出口 徒歩約1分
  • 住所
    東京都渋谷区恵比寿西1‐7‐4 FPGlinksEBISU 5階
  • 電話
    03-6455-2325
診療時間

※土曜・日曜 12:00〜18:00
※月曜・日曜(日曜は隔週)は休診です

支払い方法

  • 現金
  • クレジットカード可
    (VISA、Master card、JCB、American Express、Diners Club)
  • その他
    (アプラスデンタルローン、エポスのデンタルクレジット)

RIVER CLINIC DENTALのご紹介

RIVER CLINIC DENTAL 紹介の画像

RIVER CLINIC DENTALは、JR各線「恵比寿駅」西口より徒歩1分の場所にある、恵比寿駅前交差点付近のビル5階で診療しているクリニックです。20~40代の女性の患者さんが多いそうで、平日は19時まで、土日祝も18時まで診療しているため、平日の仕事帰りや週末など都合に合わせて通える体制が整っています。なお完全予約制を採用しています。

エレベーターを降りるとすぐに院内のフロアにつながる完全バリアフリー設計で、診療スペースには川の流れをイメージしたという間仕切り壁があります。
水の流れのように心地良い空間の中で少しでもリラックスして治療を受けてほしいという、古居 憲院長のこだわりが詰まっています。

同クリニックでは、審美性と効率性を重視したマウスピース矯正に注力しており、装置には『インビザライン(※)』を採用しています。インビザラインは透明で目立ちにくいため、矯正中の見た目が気になる方にも向いている選択肢です。

古居院長は歯並びの見た目だけでなく、噛み合わせといった機能面の改善も両立することで、より健康的で美しい口元の実現と、Eラインの改善を目指していきます。

※未承認医薬品等であるため医薬品副作用被害救済制度の対象とはならない可能性があります。

RIVER CLINIC DENTALの特長

インビザラインの費用

インビザラインフル1プラン 660,000円
インビザラインモデレートプラン(26枚) 550,000円
インビザラインライトプラン(14枚) 440,000円
インビザライン アーリープラン(8枚) 330,000円

※掲載費用はすべて税込みです。

インビザラインの治療の流れ

当医院での治療の流れを説明します。

初診無料相談

まずは患者さまの歯並びについての悩みや希望をお聞かせください。
歯並びの美しさはもちろん、機能的であること、清潔に保ちやすいことという3点を踏まえた上で、事前の検査を行います。
診察の結果と患者さまの希望を元に治療方針を詳しく説明します。費用面など、些細なことでも気になる点があれば遠慮なくお尋ねください。
※精密検査の所要時間:約60分

アライナー作成用の歯の型取り

インビザライン専用の口腔内3Dスキャナを使用し、アライナー(マウスピース)作製のための精巧な歯型採取を行います。
採取した歯型と口腔内検査の結果を米国のメーカーに送付し、それを元に治療計画のシミュレーションが作成されます。
※歯型採取の所要時間:約60分

歯の移動シミュレーションの作成

当クリニックで採取した歯型と口腔内検査の結果を元に、米国のメーカーが歯の移動の3Dシミュレーション映像を作成します。インビザライン専用の3Dソフトおよびシステムを用いて、治療開始から実際にどのように歯が動いていくかを事前にデータで確認することができます。
シミュレーションは、口腔内検査から約2週間で作成されます。

診断結果と治療計画のご説明

インビザラインの治療計画が正式に確定するまでの間、患者さまも治療開始前から歯がどのように動くかをシミュレーションで確認できます。治療に対する不安や疑問をクリアにした状態で治療に臨めますので、治療完了までのモチベーションアップにもつながります。

アライナーの発注

最終的な微調整を行った上で正式に治療計画が決定すると、米国のメーカーからアライナーが送られてきます。アライナーは、現在(治療開始時)から最終的な歯並びになるために必要な、すべての枚数がまとめて届きます。

抜歯、虫歯・歯周病などの治療

米国のメーカーからアライナーが届くまでおよそ3週間ほどです。本格的な治療開始までの時間を活用して、虫歯や歯周病があれば治療を行います。
当クリニックでは虫歯などの一般的な歯科治療にも対応しているため、患者さまは一貫して治療を受けていただくことができます。

アライナーの装着開始

メーカーからアライナーが届いたらいよいよ矯正治療の開始です。装着方法や取り扱い方法などはしっかりと説明しますのでご安心いただければと思います。なおアライナーの装着時間は1日に20時間以上必要です。

アフターフォローも万全

インビザラインでは、2週間ごとに患者さま自身でアライナーを交換する必要があります。まずは着脱の練習を当クリニックで行い、その後、実際に1枚目のアライナーを装着していただきます。分からないことや気になることは、いつでもお問い合わせください。

インビザラインの治療回数・期間

治療期間:
3か月半~1年3か月
通院回数:
3~15回
RIVER CLINIC DENTAL 特長の画像

一人ひとりに寄り添った矯正治療を提案!透明で目立たないマウスピース『インビザライン』による治療

矯正治療を始める際、従来型のワイヤーとインビザラインのどちらが思い描く歯並びになるか、迷う患者さんは少なくないそうです。この点について、古居 憲院長は「最終的な歯並びの美しさに大きな開きはない」と述べています。

しかしインビザラインの場合、治療を担う歯科医師の経験値や、3Dシミュレーションソフトを扱う技術力によって結果が左右される側面があるそうです。そのため同クリニックでは、事前の精密検査を重視しています。

具体的な手順として、まずは専用の口腔内3Dスキャナで口腔内を立体的に読み取り、レントゲン撮影や咬合(こうごう=噛み合わせ)状態の確認を行います。必要な場合は、セファロ(頭部レントゲン規格写真)や歯科用CTも駆使して詳細に分析するそうです。

検査データ取得後は約1週間かけて歯の動きのシミュレーションを作成し、およそ10日後には、完成したインビザラインが届いて治療開始となります。インビザラインは透明で装置が目立ちにくいため、矯正中の見た目が気になる方も選択肢になる点が特長です。なお、同クリニックへの通院は3か月に1回が基本となっています。

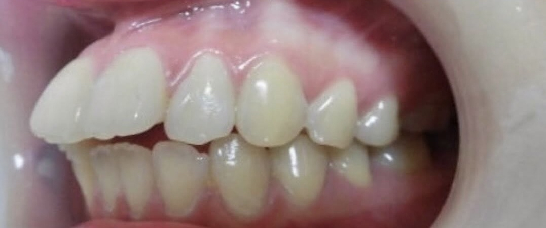
インビザラインの症例①:
上の前歯1番・2番が出ている「出っ歯」をできるだけ早く改善したい

治療前
インビザラインの症例 治療前の画像
矢印 矢印
治療後
インビザラインの症例 治療後の画像

この症例の詳細はこちら

矯正治療後は、セルフケアと定期メンテナンス受診が大切!

インビザライン、ワイヤーにかかわらず、歯列矯正の進行中は歯が動くことで歯と歯の間にすき間ができやすくなります。そこに食べカスが残ると、口臭やむし歯の原因となるため注意が欠かせません。

古居院長によれば、こうした口腔内トラブルを未然に防ぐカギは、自宅での毎日の丁寧なケアと、クリニックでのプロフェッショナルケアを両立させることだといいます。

毎日のケアにおいては、マウスピースを外してしっかり洗浄するのが基本となります。その上で、フロスや歯間ブラシ、部分磨き用のワンタフトブラシなどを併用し、口腔内全体を衛生的に保ちます。

またクリニックでのメンテナンス頻度は、インビザラインの場合は3か月ごと、ワイヤー矯正の場合は月1回が目安です。メンテナンスでは、歯が計画通りに動いているかの確認に加え、専用器具を用いたクリーニングや虫歯・歯周病の有無をチェックします。特に汚れが溜まりやすいワイヤー装置の周辺は、超音波スケーラーを利用して徹底的に歯石を取り除きます。

同クリニックでは虫歯などの一般的な歯科治療も行っているため、万が一矯正中に虫歯が見つかった場合でも、一貫して対応が可能です。インビザラインだけでなく、口腔内の健康管理をトータルで受けられるクリニックです。

RIVER CLINIC DENTAL
のご予約はこちら

まとめ

いかがでしたか?矯正歯科ネットプラス編集部がおすすめする恵比寿駅周辺でインビザライン対応の矯正歯科医院をご紹介しました。
恵比寿駅周辺には、アクセスしやすい医院や休日診療など、患者さんのお悩みに対応したクリニックがたくさんあります。
お口のお悩み、通院のお悩みに合わせ、まずは編集部おすすめのインビザラインに対応している矯正歯科医院で相談してみてはいかがでしょうか。

矯正歯科ネットプラス編集部

この記事の執筆者

矯正歯科ネットプラス編集部

矯正歯科ネットプラス編集部は、メディカルネットが運営する矯正歯科に特化した情報サイト「矯正歯科ネットプラス」で日々配信を行っています。

保有資格について

矯正歯科ネットプラス編集部には、歯科医師・歯科衛生士が在籍しております。