きれいな歯並びは
歯医者選びから!

【2026年】東京都中央区で認定医・指導医・臨床医がいるおすすめ矯正歯科

東京都中央区で認定医・指導医・臨床医がいるおすすめ矯正歯科の画像

東京都中央区の認定医・指導医・臨床医がいるおすすめの歯医者さん(矯正歯科)をご紹介します。
東京都中央区で歯列矯正治療をするならどこのクリニック?何に注目して選ぶべき?そんなお悩みがある方に本記事はおすすめです。

この記事で紹介する東京都中央区で認定医・指導医・臨床医がいるおすすめの矯正歯科医院は下記の通りです。

  • 日本橋はやし矯正歯科

矯正歯科医院選びの参考として、アクセスや診療時間などの基本情報や医院ごとの特長、院内写真などを掲載しています。矯正治療を検討中の方はぜひ読んでみてください。

※2026年4月時点 おすすめしたい歯科医院は、株式会社メディカルネットが20年以上にわたり歯科医院情報サイトを運営して得た情報に基づき掲載しております。
治療法の選択肢が多い、通院しやすい立地、充実した設備・医療機器に加えて、日曜診療や夜間診療対応、アフターケアや保証の有無などを基準に医院を選定しています。

※本ページにはプロモーションが含まれています。

【2026年】東京都中央区で認定医・指導医・臨床医がいるおすすめ矯正歯科

日本橋はやし矯正歯科のご紹介

日本橋はやし矯正歯科は「矯正を始めるかどうかを、きちんと判断できる場所でありたい」という考えを大切にしている、矯正治療を専門にした歯科医院です。患者さんとの対話を大切にした、丁寧な診療がモットーです。

1995年に北海道医療大学歯学部を卒業して以来、さまざまな臨床現場で経験を積み、技術力や対応力を磨いてきた林 一夫院長。自身が矯正治療を受けた経験から、治療で生活や気持ちが前向きに変わる実感とともに「正確な診断と見通しを伝えること」の重要性を強く感じているといいます。

その林院長のもと、同院では3Dデジタルデータを用いて歯並びや噛み合わせを立体的に分析。治療後の変化や期間の目安などを、分かりやすく整理した上で説明しています。
治療を急いで決めるのではなく、患者さんが自分の状態を理解・納得した上で次の一歩を考えられることを大切にしているそうです。

裏側矯正やマウスピース矯正をはじめ、骨格的な問題をともなう症例や、外科的治療を含めたサージェリーファースト(※)にも対応。培った臨床経験とデジタル技術を融合させ、一人ひとりに合った治療プランを提案しています。

茅場町駅から徒歩1分の好立地に加え、平日と土曜・日曜も診療するなど忙しい方でも通院しやすい環境を用意している同院。安心して通ってもらえるようにとの配慮から、院内の衛生管理や感染対策も徹底しています。

※顎変形症の治療の際、術前矯正を省いて外科手術を行い、顎の骨のズレを改善してから矯正治療で歯並びを整える術式です。従来よりも治療期間を1〜2年短縮できるとされています。

日本橋はやし矯正歯科・日本矯正歯科学会指導医・林 一夫

林 一夫 歯科医師の画像

経験とデータから、矯正治療の見通しを分かりやすく!

日本の歯科矯正臨床は、デジタル技術を活用した診断や治療への『大きな転換期』を迎えていると感じています。

私自身、歯科医師として、またデジタル矯正システムのインストラクターとして、日々の臨床と教育の現場を通じて、デジタル技術がもたらす可能性と、その正しい活用の重要性を伝えてきました。
こうした経験を踏まえ、従来の矯正治療の良さを大切にしながら、より精度の高い診断と、見通しのある治療を提供したいと考え、日本橋茅場町に「日本橋はやし矯正歯科」を開院しました。

当院では歯並びだけを見るのではなく、噛み合わせや顎関節の状態も含めて総合的に捉え、長期的な安定を見据えた矯正治療を心がけています。
矯正を始めるかどうか迷っている方にも、ご自身の状態を正しく理解し、納得して判断していただけるよう、丁寧な説明と対話を大切にしています。

林 一夫先生にインタビュー!

矯正歯科ネットプラス編集部の画像
矯正歯科
ネットプラス
編集部

先生の趣味や休日の過ごし方は?

林 一夫 歯科医師の画像
林 一夫
歯科医師

休日や空いた時間には、体を動かして気分転換をすることが多いです。自宅やジムで筋力トレーニングを行い、時間を気にせず自分のペースで体と向き合うことを大切にしています。また皇居周辺を走るジョギングも習慣のひとつで、季節の移り変わりを感じながら頭をリフレッシュしています。

最近は観葉植物を育てることにも楽しさを感じており、日々の成長を眺めながら、手をかけすぎず見守る時間が良い息抜きになっています。こうした時間を通して心身のバランスを整え、診療でも落ち着いて患者さまと向き合えるよう心がけています。

矯正歯科ネットプラス編集部の画像
矯正歯科
ネットプラス
編集部

矯正歯科医になられたきっかけは何ですか?

林 一夫 歯科医師の画像
林 一夫
歯科医師

医療職への憧れと両親からのサポートもあり、いずれ社会貢献ができる職種なのではと考え歯科医師を目指しました。

大学を卒業後、認定医を取るためには5年の期間が必要だったので、どうせなら大学院にまで進み、そのまま教育研究者という道を選択しました。
歯科理工学と法歯学でキャリアを迷いましたが、歯科理工学で基礎研究を行いながら、矯正臨床の道に進みました。デジタル矯正システムに出会う以前から、CTから3Dモデルを作成して外科矯正のシミュレーションをするようなことをしていました。

デジタル矯正システムには先進性があると感じ、強い興味と関心を持ったので、この分野の研究者としてキャリアを進めたいと思いました。

矯正歯科ネットプラス編集部の画像
矯正歯科
ネットプラス
編集部

先生の得意な矯正治療分野や、特に力を入れていることはありますか?

林 一夫 歯科医師の画像
林 一夫
歯科医師

日本橋はやし矯正歯科では、矯正治療にデジタルシステムを積極的に取り入れています。

3Dデジタルデータをもとに歯並びや噛み合わせを分析し、治療の見通しを立てたうえで計画を組み立てることで、治療期間や通院回数の負担をできるだけ抑えることを目指しています。
こうしたデジタル矯正システムの活用については、私が他院の歯科医師に向けたインストラクターとして指導に携わってきた経験も活かされています。

また、矯正治療は一定の期間を要する治療だからこそ、院内の衛生管理にも配慮しています。歯科用ユニットへの除菌水の導入や治療器具の洗浄・滅菌を徹底し、安心して通院していただける環境づくりを心がけています。

患者さまとのコミュニケーションも大切にし、不安や疑問を残したまま治療が進むことのないよう、丁寧な説明と接遇を院全体で意識しています。技術と環境の両面から、患者さまにとって納得感のある矯正治療を提供することを大切にしています。

アクセス・住所・診療時間

日本橋はやし矯正歯科 紹介の画像
  • アクセス
    東京メトロ各線『日本橋駅』D1出口より徒歩5分
    東京メトロ各線『茅場町駅』5番・6番出口より徒歩1分
    JR・東京メトロ各線『八丁堀駅』A5出口から徒歩6分
    都営浅草線『宝町駅』A8出口より徒歩14分
    JR各線『東京駅』八重洲口より徒歩15分
  • 住所
    東京都中央区日本橋茅場町2-7-1 CCICビル1階
  • 電話
    0120-182-704
診療時間

※土曜・日曜 9:30~12:30 / 14:00~18:30
※第1・第3週の日曜は休診

支払い方法

  • 現金
  • クレジットカード可
    (VISA、Master card、JCB、American Express、Diners Club)
  • その他
    (デンタルローン(分割回数、金利等の詳細は医院までお問い合わせください))

日本橋はやし矯正歯科の裏側矯正について

裏側矯正の費用

裏側矯正 1,200,000円~1,400,000円

※掲載費用はすべて税込みです。

裏側矯正の治療の流れ

当医院での治療の流れを説明します。

①カウンセリング(60分)

患者さまと誠実に向き合い、一人ひとりの症状やニーズに合った治療を提案するためにも、初回カウンセリングをとても大切にしています。CBCT(歯科用CT)撮影・セファログラム分析による横顔シミュレーションも実施しています。

②精密検査(60分)

治療を申し込みいただいたら精密検査を実施します。3Dデジタル矯正システムによるモデルの作成や検査、さまざまな撮影を行います。

③診断・治療方針の説明

精密検査の結果から診断を行い、治療計画を立案していきます。最終的な治療計画は、患者さまが納得できるまで話し合った上で決定します。

④クリーニング

初回は、正しい歯磨きの方法の指導や口腔内クリーニングを行い、装置をつけるための準備を行います。矯正装置を装着することにより歯磨きが難しくなるので、上手に歯磨きができるようになるまで丁寧な指導を心がけています。

⑤裏側矯正装置の装着

裏側矯正装置を装着し、治療を開始します。初期の凸凹が改善された段階で、高精度カスタムワイヤーによる治療を進めるための歯科用CTによる撮影を行う場合があります(治療計画により、撮影時期が異なる場合があります)。

⑥定期的な通院

一般的には1か月に1回の通院が理想的ですが、3Dデジタル矯正は特殊なカスタムワイヤーを用いていますので、患者さまによっては通院回数を減らすことも可能です。

⑦動的治療終了・装置の取り外し

治療開始当初にシミュレーションした歯並びが確認できた段階で装置を外し、治療終了となります。患者さまが納得できた段階で装置を撤去します。

⑧保定

装置を外したあとに歯並びが元に戻らないよう、歯の周りの組織が安定するまでの期間です。保定装置(リテーナー)を装着していただきます。透明なマウスピースタイプのリテーナーや、歯の裏側にワイヤーを取り付ける固定式のリテーナーなど、複数の装置から選択します。

裏側矯正の治療回数・期間

治療期間:
裏側矯正(抜歯治療):おおよそ2年半
裏側矯正(非抜歯治療):おおよそ1年半
通院回数:
裏側矯正(抜歯治療):28回
裏側矯正(非抜歯治療):20回

ここが
スゴイ
日本橋はやし矯正歯科の裏側矯正

裏側矯正を検討中の方は、矯正治療に特化した歯科医院を選ぶことが大切です。また裏側矯正を行うには、裏側矯正ならではの技術や経験が重要です。

歯科医療におけるデジタル技術の進歩は目覚ましいですが、そのテクノロジー効果が発揮されるのは、それを扱う歯科医師の幅広い知見と技術があってこそだと考えています。
そのため日本橋はやし矯正歯科では、矯正治療の分野に強みを持つ歯科医師がしっかりと治療を行っています。

また「治療中はできるだけ矯正装置が目立たず、快適に過ごしたい」「通院回数は抑えて普段通りに生活したい」——。多くの患者さまがそう思われます。そこで当院では、3Dデジタル裏側矯正を導入し、装置の目立ちにくさと治療期間の大幅な効率化(短縮)の実現に取り組んでいます。

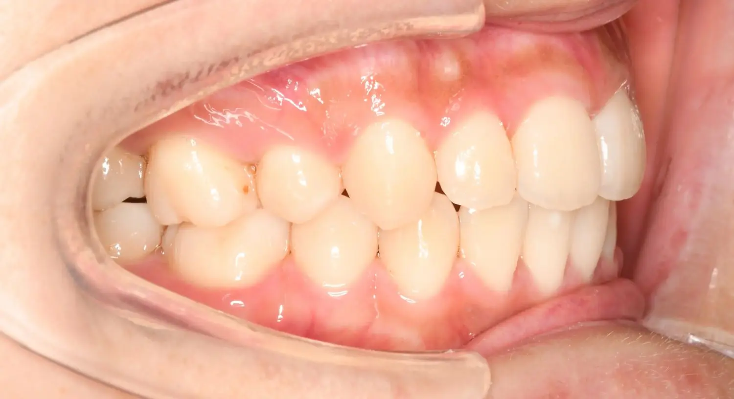
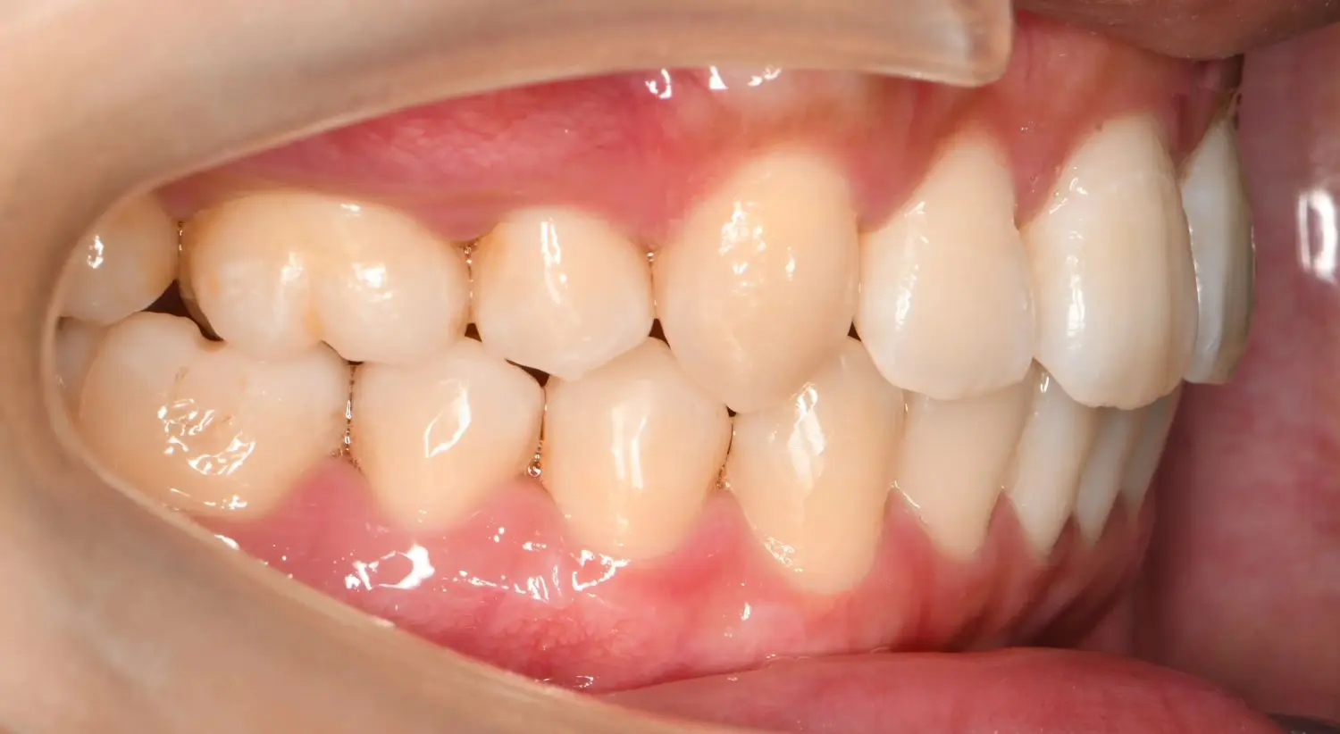
裏側矯正の症例①:
いわゆる「口ゴボ」と言われる、上下の口唇が前方に突出した状態の改善を希望されて来院。また軽度の口唇閉鎖不全も認められ、オトガイ部が筋緊張でくぼんでいることも気になるとのこと。

治療前
いわゆる「口ゴボ」と言われる、上下の口唇が前方に突出した状態の改善を希望されて来院。また軽度の口唇閉鎖不全も認められ、オトガイ部が筋緊張でくぼんでいることも気になるとのこと。の治療前の画像
矢印 矢印
治療後
いわゆる「口ゴボ」と言われる、上下の口唇が前方に突出した状態の改善を希望されて来院。また軽度の口唇閉鎖不全も認められ、オトガイ部が筋緊張でくぼんでいることも気になるとのこと。の治療後の画像

この症例の詳細はこちら

日本橋はやし矯正歯科のマウスピース矯正について

マウスピース矯正の費用

マウスピース矯正 990,000円~1,100,000円

※掲載費用はすべて税込みです。

マウスピース矯正の治療の流れ

当医院での治療の流れを説明します。

①カウンセリング

必要に応じていくつかの治療の選択肢を提案し、それぞれの料金や支払い方法などを説明します。患者さまの気持ちに寄り添った治療を大切にしていますので、疑問など何でもお話しください。

②精密検査

カウンセリング時に3Dモデルを作成した方でも、改めてこの時点で歯科用CTで撮影し、3Dデジタル矯正の矯正治療シミュレーションを行います(マウスピース矯正以外でもすべて同様です)。このシミュレーションは歯と歯の根っこなどの動きを詳細に確認できるもので、より安全な治療計画を立てるために活用しています。

③診断・治療計画及び治療方針の説明

精密検査・シミュレーションに基づき診断を行い、患者さまと話し合いのもと治療計画と治療方針を立てます。治療方法はもちろん、治療期間やリスク・副作用等まで詳しく説明します。患者さまが納得されるまで話し合い、最終的に決定した治療計画でスタートします。

④治療開始(マウスピース装着)

アタッチメントと呼ばれる、歯の動きをサポートする突起を歯に装着します(色は歯に合わせるため目立ちません)。歯と歯の間にわずかに隙間を作る処置を行うことも多く、治療開当日に処置を進めることもあります。また顎間ゴムを用いた治療の場合は、ゴムをかける位置の確認や実際の装着方法を説明します。

⑤治療(6週間に1度程度の通院)

通院ごとに「しっかり歯が動いているか」「口腔内に問題が起きていないか」「次のマウスピースに進めることができる状態か」などを確認をしながら治療を進めていきます。

⑥治療終了から保定期間へ

歯列が治療計画どおりに整ったら、歯が元の位置に戻ろうとするのを防止するための「リテーナー」という装置の装着期間に入ります。実際の装着期間は患者さまの状態によって異なります。

マウスピース矯正の治療回数・期間

治療期間:
マウスピース矯正(抜歯矯正):おおよそ2年半
マウスピース矯正(非抜歯矯正):おおよそ1年半
通院回数:
マウスピース矯正(抜歯矯正):20回
マウスピース矯正(非抜歯矯正):15回

ここが
スゴイ
日本橋はやし矯正歯科のマウスピース矯正

矯正治療を成功させるには、患者さまの協力が非常に大切です。当院では、治療計画および最終的な歯の移動予測を3Dモデルで共有することにより、患者さまが治療に対するモチベーションを維持できるようサポートしています。

また当院の取り組みとして、歯の根っこの位置を正確に把握することで、効率的な歯の移動をデザインするとともに、安全性を追求した治療計画の提案に努めています。治療の効率化は治療期間の短縮へとつながります。

同じく治療の精度も、治療期間の短縮や安全な治療につながると考えています。そのため当院では、患者さまの要望をしっかり受け止め治療計画に反映させた上で、歯科医師の知見とデジタル技術を融合させたマウスピース矯正を提供しています。

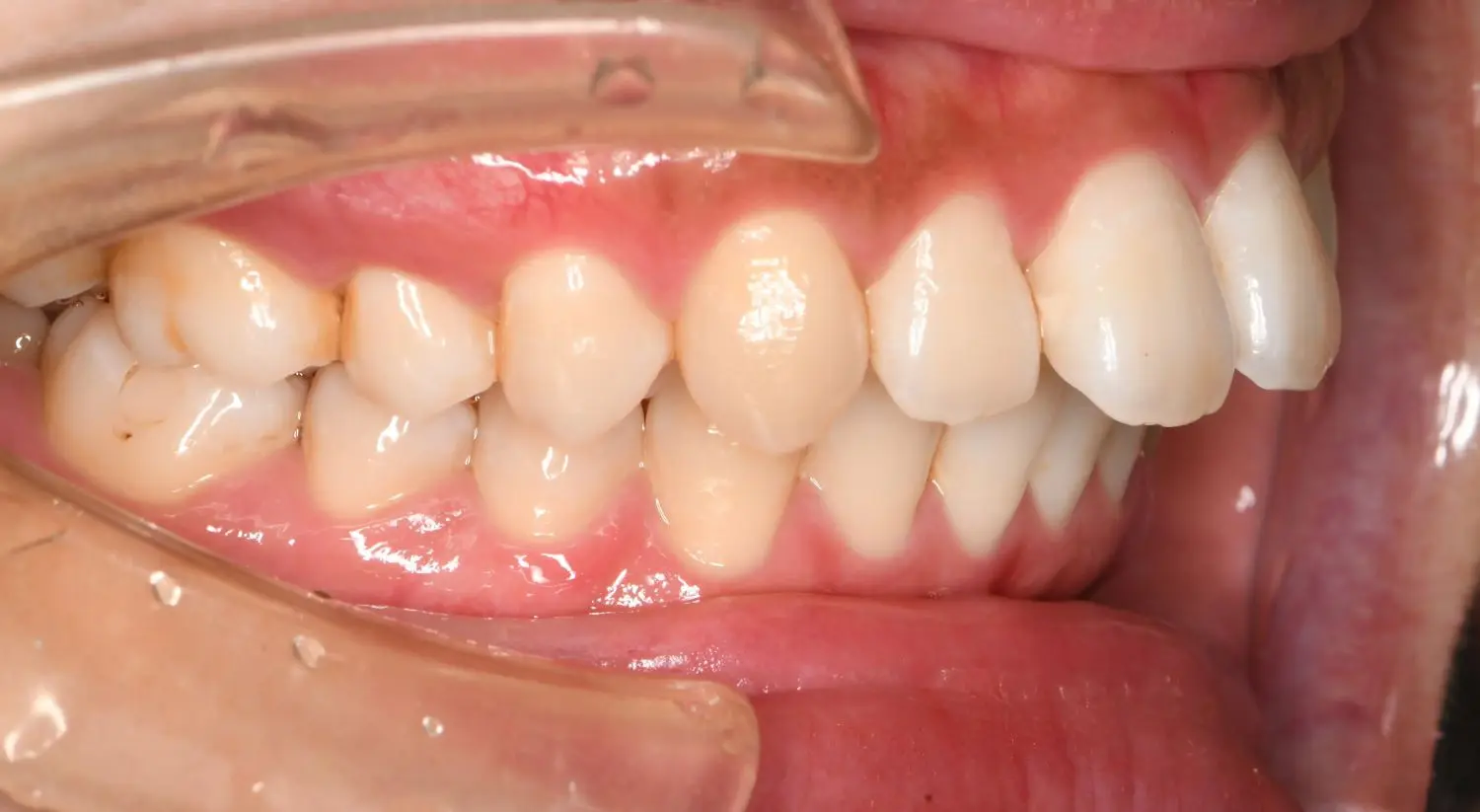
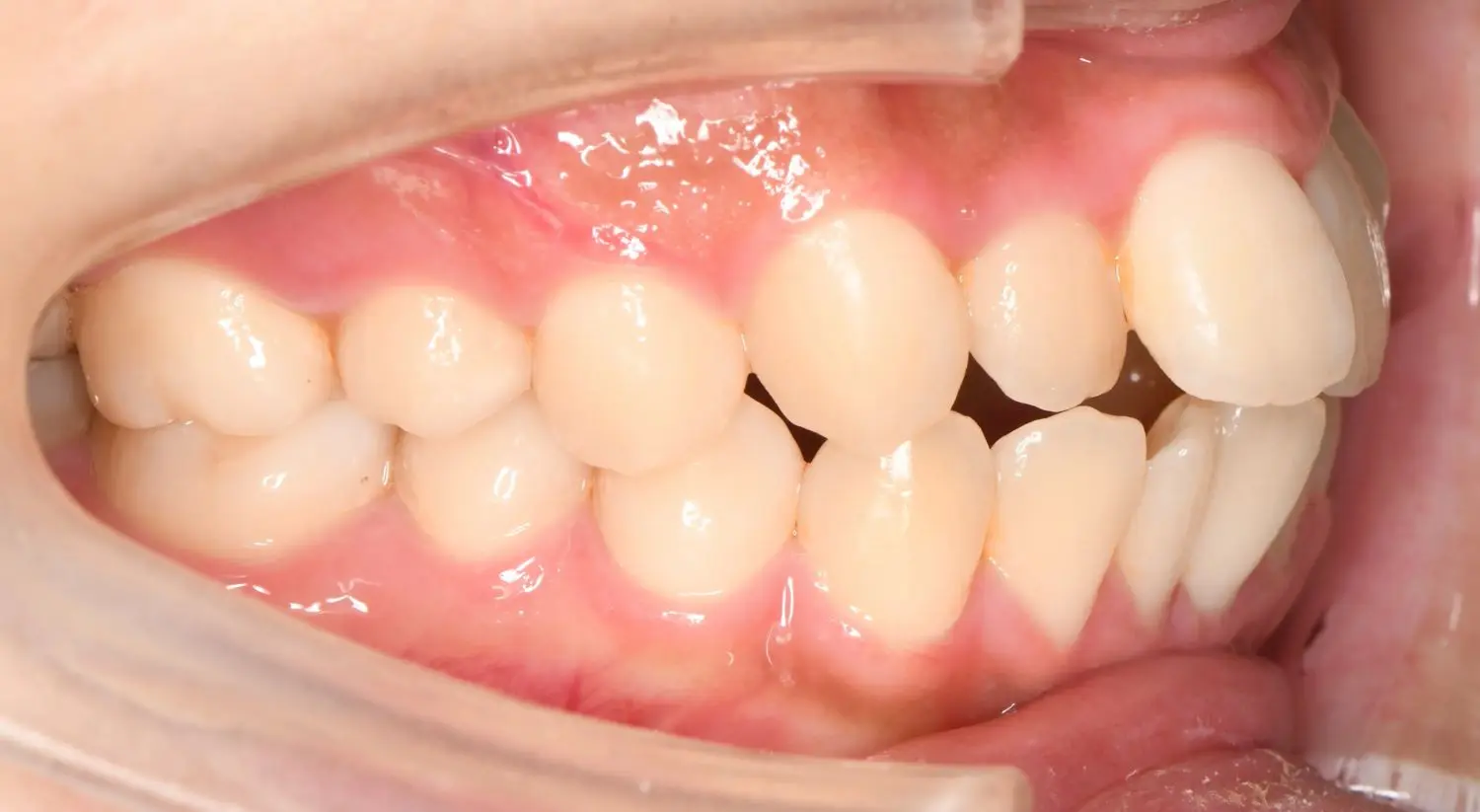
マウスピース矯正の症例①:
25歳の女性です(治療開始時)。出っ歯や口元が気になるとのことで来院され、カウンセリングを受けられました。

治療前
25歳の女性です(治療開始時)。出っ歯や口元が気になるとのことで来院され、カウンセリングを受けられました。の治療前の画像
矢印 矢印
治療後
25歳の女性です(治療開始時)。出っ歯や口元が気になるとのことで来院され、カウンセリングを受けられました。の治療後の画像

この症例の詳細はこちら

日本橋はやし矯正歯科の表側矯正について

表側矯正の費用

表側矯正 990,000円~1,100,000円

※掲載費用はすべて税込みです。

表側矯正の治療の流れ

当医院での治療の流れを説明します。

①カウンセリング

当院にて院長がカウンセリングをします。お口の中を見ながら症状や治療法などをお話します。カウンセリングは納得できるまで何度でも受けられます。

②精密検査

治療を申し込みいただいたら精密検査をいたします。3Dデジタル矯正システムによるモデルの作成や口腔内検査、歯科用CTなどさまざまな撮影を行います。

③診断、治療方針の説明

精密検査の結果から診断を行い、治療計画を立案していきます。最終的な治療計画は、患者さまが納得できるまで話し合った上で決定します。

④クリーニング

正しい歯磨きの方法の指導や口腔内のクリーニングを行い、装置をつけるための準備をしていきます。矯正装置を装着することにより歯磨きが難しくなるので、上手に歯磨きができるようになるまで丁寧な指導を心がけています。

⑤表側矯正装置を装着

表側矯正装置を装着し、治療を開始します。初期の凸凹が改善された段階で、高精度カスタムワイヤーによる治療を進めるための歯科用CTによる撮影を行う場合があります(治療計画により、撮影時期が異なる場合があります)。

⑥定期的な通院

一般的には1か月に1回の通院が理想的ですが、3Dデジタル矯正は特殊なカスタムワイヤーを用いていますので、患者さまによっては通院回数を減らすことも可能です。

⑦装置の取り外し

治療開始当初にシミュレーションした歯並びが確認できた段階で装置を外し、治療終了となります(患者さまが納得されるまで治療は継続します)。毎回の調整料は無料のため、治療費の心配をせずとことんこだわった治療を行うことができます。

⑧保定

装置を外したあとに歯並びが元に戻らないよう、歯の周りの組織が安定するまでの期間です。保定装置(リテーナー)を装着していただきます。

表側矯正の治療回数・期間

治療期間:
表側矯正(抜歯矯正):おおよそ2年半
表側矯正(非抜歯矯正):おおよそ1年半
通院回数:
表側矯正(抜歯矯正):おおよそ30回
表側矯正(非抜歯矯正):おおよそ20回

ここが
スゴイ
日本橋はやし矯正歯科の表側矯正

長い歴史の中で技術が磨かれてきた表側矯正は、裏側矯正やマウスピース矯正に比べると費用の負担が比較的抑えられ、技術の進歩により治療期間も短縮されてきています。デジタル矯正システムを用いることによって、より高精度の治療も可能になりました。

「全体矯正を可能な限り早く終わらせたい」と希望する患者さまにとって、やはり現在でも表側矯正が適切な治療方法と考えています。また、裏側矯正は発音が一時的にしづらくなったり、口の中に違和感を感じたりすることがありますが、表側矯正はそういったことが少ないのも特徴です。

表側矯正の症例①:
歯のデコボコと八重歯の治療を希望され来院されました。

治療前
歯のデコボコと八重歯の治療を希望され来院されました。の治療前の画像
矢印 矢印
治療後
歯のデコボコと八重歯の治療を希望され来院されました。の治療後の画像

この症例の詳細はこちら

日本橋はやし矯正歯科
のご予約はこちら

日本矯正歯科学会とは

日本矯正歯科学会とはの画像

日本矯正歯科学会とは歯科矯正学の専門知識や技術の研究や普及を目的とした学術団体です。 矯正歯科の専門家による研究成果の発表や意見交換の場を提供し、矯正歯科医療の質の向上を図っています。

認定医・指導医・臨床医とは

とはの画像

矯正歯科治療に必要な専門知識と十分な臨床経験を備えた歯科医師に対して、日本矯正歯科学会が認定する資格です。
「臨床医」という名称は、以前は「専門医」、その後は「臨床指導医」と呼ばれていましたが、医師としての高度な知識や技術に加え、他の歯科医師や医師と連携し、適切な指示を出せる立場であることを明確にするため、2025年に「臨床医」へと改称されました。
また「指導医」は、今後「研修指導医」という名称へ移行する予定とされています。

日本矯正歯科学会の認定医は、矯正治療に関する専門的な知識と技術をしっかり身につけた歯科医師です。
認定医になるためには以下の条件が必要です。

  • 歯科医師の資格を持っていること
    国家資格である歯科医師免許を取得している必要があります。
  • 学会に長く所属していること
    日本矯正歯科学会に5年以上、継続して所属していることが条件です。
  • 専門的な研修と経験を積んでいること
    学会が認めた研修施設で矯正歯科の基本研修を修了し、その後も含めて少なくとも5年以上、臨床経験を積むことが求められます。
    ※または、それと同等の知識や技術を持っていると判断された場合も認められます。
  • 専門施設での勤務経験
    原則として、研修施設に常勤していることが望まれます。
  • 学術的な活動
    学会が認める学術誌に、矯正歯科に関する研究論文を発表していること。
  • 倫理を守ること
    学会の倫理規定や、医療広告ガイドラインを遵守していること。

指導医は、矯正歯科の臨床経験に加え、後進の育成や教育にも携わる歯科医師です。
指導医になるには以下の条件が必要です。

  • 歯科医師の資格を持っていること
    国家資格である歯科医師免許を取得している必要があります。
  • 長期間の臨床・教育・研究の経験
    矯正歯科の臨床・教育・研究に12年以上専従していることが求められます。
  • 教育歴があること
    矯正歯科臨床に関して、少なくとも3年以上の教育歴が必要です。
  • 学術活動の実績
    矯正歯科分野において、研究発表や論文発表など、相当の学術活動の実績が求められます。

臨床医は、矯正治療の専門家としてさらに高い基準を満たした歯科医師です。
臨床医になるには以下条件が必要です。

  • 歯科医師の資格を持っていること
    国家資格である歯科医師免許が必要です。
  • 認定矯正歯科専門医資格を持っていること
    原則として、日本歯科専門医機構の「認定矯正歯科専門医」の資格を取得していること。
  • 学会認定医であること
    日本矯正歯科学会の「認定医」資格を持っていることが条件です。
  • 長期間の学会所属
    日本矯正歯科学会に7年以上継続して所属している必要があります。
  • 学術活動を行っていること
    学会が認める学術誌や学会で、矯正治療に関する報告や発表をしていること。
  • 倫理とガイドラインを守ること
    学会の倫理規定や、厚生労働省・学会が定める医療広告ガイドラインを遵守していること。

参考:日本矯正歯科学会サイト

メディカルネット顧問歯科医師:常盤 肇

これらの資格を有する歯科医師は、矯正歯科治療に関する研修や学会活動に取り組み、日々知識や技術を磨いています。歯科医院を選ぶ際のひとつの参考として、気になる方はチェックしてみてください。

まとめ

いかがでしたか?矯正歯科ネットプラス編集部がおすすめする東京都中央区で認定医・指導医・臨床医がいる矯正歯科医院をご紹介しました。
東京都中央区には、アクセスしやすい医院や休日診療など、患者さんのお悩みに対応したクリニックがたくさんあります。
お口のお悩み、通院のお悩みに合わせ、まずは編集部おすすめの認定医・指導医・臨床医がいる矯正歯科医院で相談してみてはいかがでしょうか。

矯正歯科ネットプラス編集部

この記事の執筆者

矯正歯科ネットプラス編集部

矯正歯科ネットプラス編集部は、メディカルネットが運営する矯正歯科に特化した情報サイト「矯正歯科ネットプラス」で日々配信を行っています。

保有資格について

矯正歯科ネットプラス編集部には、歯科医師・歯科衛生士が在籍しております。

関連記事 Related articles

おすすめ矯正歯科

矯正治療を検討する際「どんな治療方法に対応しているか」や
「通いやすい場所にあるか」なども重要なポイントです。
当サイトでは、マウスピース矯正や裏側矯正などの治療法別、
またエリア別にも矯正歯科医院を紹介しています。

おすすめ矯正歯科を見る