きれいな歯並びは
歯医者選びから!

【2026年】愛媛県松山市で認定医・指導医・臨床医がいるおすすめ矯正歯科

愛媛県松山市で認定医・指導医・臨床医がいるおすすめ矯正歯科の画像

愛媛県松山市の認定医・指導医・臨床医がいるおすすめの歯医者さん(矯正歯科)をご紹介します。
愛媛県松山市で歯列矯正治療をするならどこのクリニック?何に注目して選ぶべき?そんなお悩みがある方に本記事はおすすめです。

この記事で紹介する愛媛県松山市で認定医・指導医・臨床医がいるおすすめの矯正歯科医院は下記の通りです。

  • ふじた矯正歯科クリニック
  • おおうち矯正歯科クリニック

矯正歯科医院選びの参考として、アクセスや診療時間などの基本情報や医院ごとの特長、院内写真などを掲載しています。矯正治療を検討中の方はぜひ読んでみてください。

※2026年4月時点 おすすめしたい歯科医院は、株式会社メディカルネットが20年以上にわたり歯科医院情報サイトを運営して得た情報に基づき掲載しております。
治療法の選択肢が多い、通院しやすい立地、充実した設備・医療機器に加えて、日曜診療や夜間診療対応、アフターケアや保証の有無などを基準に医院を選定しています。

※本ページにはプロモーションが含まれています。

【2026年】愛媛県松山市で認定医・指導医・臨床医がいるおすすめ矯正歯科

ふじた矯正歯科クリニックのご紹介

愛媛県松山市にあるふじた矯正歯科クリニックは、矯正治療を専門に行っているクリニックです。小さなお子さんから大人や高齢の方、家族で通ってもらえるようクリニック内の造りにもこだわっています。『キッズルーム』や『バリアフリー設計』『専用の広々とした駐車場10台分完備』の設備も完備しています。

同クリニックの藤田 隆寛院長は、日本矯正歯科学会認定の認定医です。藤田院長も矯正治療を受けて歯並びがきれいになった一人です。自身の経験から、患者さんの悩みや不安に寄り添った対応をしているとのこと。そのため、患者さんが些細な悩みでも話しやすい雰囲気づくりにこだわっているそうです。

矯正治療については、顎変形症(がくへんけいしょう)や先天性疾患を原因とする噛み合わせ・歯並びの乱れにも対応しており、患者さん一人ひとりに合わせた治療方法を提供しています。また従来のワイヤー矯正では、より審美性が高く透明で目立たないブラケット装置を取り付けることも可能です。

ふじた矯正歯科クリニック・日本矯正歯科学会認定医・藤田 隆寛

藤田 隆寛 歯科医師の画像

不安を安心、確信へ。幅広い選択肢を用意しています。

はじめまして。ふじた矯正歯科クリニック院長の藤田 隆寛です。

矯正治療は、歯並びをきれいに整えて、自然で健康的な咬み合わせを実現する専門的な歯科治療です。私自身も小さいころに矯正歯科治療を受けており、歯並びがきれいになる喜びと大切さを経験した一人でもあります。

矯正治療は虫歯治療とは違い、どうしても治療期間が長くなります。だからこそ、治療を始めるまえにはご納得いただけるまで十分に説明をすること、治療中も患者さまの不安や悩みを解消し、些細なことでも相談できるような雰囲気づくりを心がけています。

私は矯正治療を通じて、ひとりでも多くの方に『心からの笑顔』また『生活の質(QOL)の向上』を提供し、患者さまが何十年後も『矯正をしてよかった』と思っていただけるような、心に寄り添った治療したいと思っております。

些細なことでも結構です。お気軽にご相談ください。

藤田 隆寛先生にインタビュー!

矯正歯科ネットプラス編集部の画像
矯正歯科
ネットプラス
編集部

先生の趣味や休日の過ごし方は?

藤田 隆寛 歯科医師の画像
藤田 隆寛
歯科医師

休日は妻と子どもを連れてドライブをしたり、公園で遊んだりしています。休日に子どもが幼稚園へ行っていることもあるので、その時間は妻と一緒に映画鑑賞したり、二人とも歌うことも好きなのでカラオケに行ったりしています。他にはスポーツ全般好きなので、体を動かしたりスポーツ観戦するのも好きです。昔は野球やサッカーをしていました。

今はこれといって続けている趣味は特にはないですが、もしかしたら矯正が趣味かもしれません(笑)。

診療後に患者さまの治療計画を悩みながら考えて準備したり、夜な夜な患者さまに装着する装置を作ったりするのは大変ですが、悩んで考えたり調べたり、細かな作業をすることが好きなので、この仕事は自分に向いているかなと思います。

矯正歯科ネットプラス編集部の画像
矯正歯科
ネットプラス
編集部

矯正歯科医になられたきっかけは何ですか?

藤田 隆寛 歯科医師の画像
藤田 隆寛
歯科医師

私が矯正歯科医になるまでには大きく影響を受けた方がいます。

まずは歯科医師である父の影響です。父は一般的な歯科を基本としておりますが、矯正歯科にも深く携わっていましたので、小さなころから矯正治療が身近にあり、私も父に矯正治療をしてもらいました。歯科医師として患者さまを第一に考える父の姿を今でも誇りに思い、その背中を追っていろいろな相談をしています。

次に学生時代に矯正歯科という分野を初めて学んだときの先生方です。授業や実習が圧倒的にわかりやすくて面白く、矯正歯科にのめりこんだきっかけになりました。しかし矯正歯科という分野は、非常に複雑で、学問としても技術としてもとても難しく感じました。

もともと器用な方ではあったので、他の分野の実習は難なくできても、矯正の実習では指導医の先生のようにできないことがすごく多くて悔しい思いをしました。同時に簡単にやってのける先生がすごくかっこよく見えたのです。「私もこの先生方のもとで矯正歯科をもっと学びたい」と強く感じ、迷うことなく矯正歯科の道へ進みました。そのまま10年間大学病院で矯正歯科を学び、今でも研さんを続けています。

矯正歯科ネットプラス編集部の画像
矯正歯科
ネットプラス
編集部

先生の得意な矯正治療分野や、特に力を入れていることはありますか?

藤田 隆寛 歯科医師の画像
藤田 隆寛
歯科医師

当クリニックでは、表側矯正からマウスピース型矯正、外科矯正、小児矯正とすべての分野の矯正治療を提供しております。患者さまお一人おひとりの状態や症状、悩みはそれぞれ異なりますので、患者さまのご希望に合わせてベストな治療を提供できるよう努めています。

矯正治療は長期間のお付き合いになることが多い分野です。また、治療が終わると皆さん喜んで、笑顔になっていただけますが、それまでの過程はやはり痛みや苦労が伴います。少しでも治療が楽しく前向きに、そしてお悩みを共有できるように、コミュニケーションをしっかり取ることに力をいれております。

アクセス・住所・診療時間

ふじた矯正歯科クリニック 紹介の画像
  • アクセス
    伊予鉄バス『テクノプラザ愛媛口』停留所より徒歩1分
  • 住所
    愛媛県松山市久米窪田町369-3
  • 電話
    089-909-8840
診療時間

※水曜 15:00~20:00
※土・日曜 10:00~13:00 / 14:00~17:00
※日曜は月2回の診療(日曜診療の週は水曜または土曜休診)
※木・祝は休診日となります

支払い方法

  • 現金
  • クレジットカード可
    (VISA、Master card、JCB、American Express、Diners Club)
  • その他
    (デンタルローン)

ふじた矯正歯科クリニックの表側矯正について

表側矯正の費用

表側矯正 605,000円~770,000円
初診カウンセリング 無料
検査診断料 38,500円

※掲載費用はすべて税込みです。

表側矯正の治療の流れ

当医院での治療の流れを説明します。

1.初診カウンセリング

歯並びのお悩みや治療へのご要望などを丁寧にお伺いして、口腔内の状態をチェックします。虫歯・歯周病がある場合には、その治療を優先させます。
治療料金は患者さまに安心して治療を受けていただくため、初診カウンセリング時に詳しくご説明をさせていただきます。また治療料金の見積書もお渡しいたします。

※必要に応じてパノラマX線写真を撮影した場合のみ1,100円(税込)が必要となります。
(次回当院での検査に進まれる方は検査料より差し引かせていただきます。)
※他院にて矯正治療中で、セカンドオピニオンのご希望の方は3,300円(税込)が必要となります。

2.精密検査

矯正相談を受けていただき、検査を希望されますと、レントゲン検査、CT検査、お顔やお口の中の写真撮影、印象採得(歯型取り)などの精密検査を行います。検査は状態によっては2回行う場合もございます。

3.治療計画のご説明

1〜2週間後に検査結果と今後の治療計画について詳しくご説明いたします。
治療で使われる装置については、患者さまの症状に合わせてご提案させていただきます。

4.矯正治療開始

矯正装置を使って、治療を開始します。装置を装着したばかりの頃は、多少の痛みや不快感があるかもしれませんが、通常、数日から1週間程度で慣れていきます。治療中は1か月から2か月に1度の通院が必要です。

5.治療終了

治療計画通り、歯が並んだら終了となります。
矯正治療後は、歯を安定させるために保定期間に移行します。

6.アフターケア

矯正治療により動いた歯の後戻りを防ぐために、保定装置(リテーナー)を装着します。
保定期間中も3か月から1年に1回の頻度でご来院いただき、定期メンテナンスを行います。
歯並びの状態や口腔内の健康状態などを確認し、より良い状態が維持できるようにサポートいたします。

表側矯正の治療回数・期間

治療期間:
約1~3年
通院回数:
12~36回程度

ここが
スゴイ
ふじた矯正歯科クリニックの表側矯正

表側矯正治療は、矯正治療における基本となります。歯の表側にワイヤー・ブラケットを取り付けて歯を動かします。

幅広い歯並びのお悩みに対応できるのが特徴です。私は日本矯正歯科学会認定の認定医です。表側矯正も進化しており、昔の銀色で目立つものばかりではなく目立たない装置が作られており、当クリニックでもそれを採用しております。目立ちにくい装置をご希望される場合は、遠慮なくお申し出ください。費用や治療内容について詳しくご説明させていただきます。

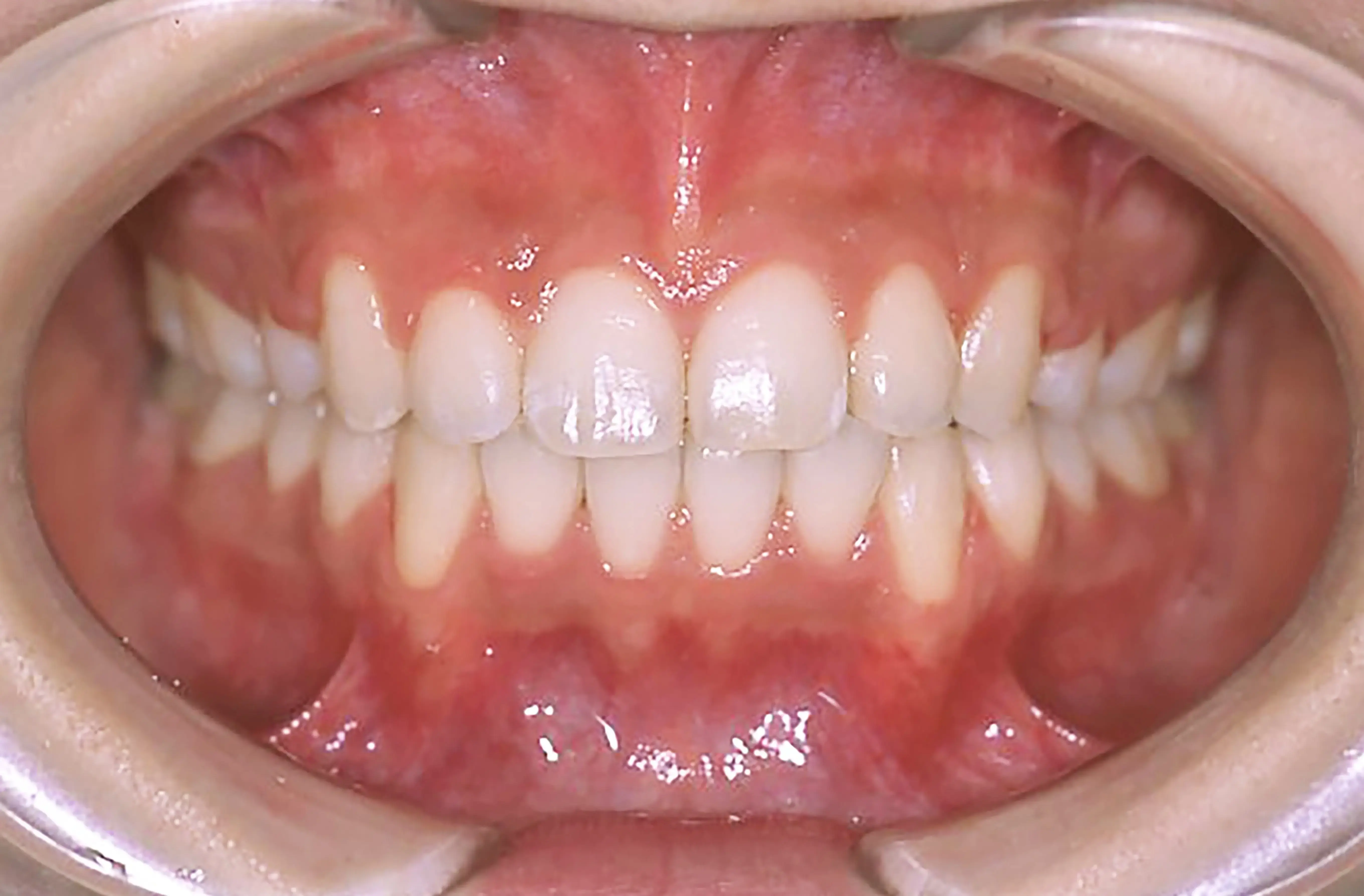
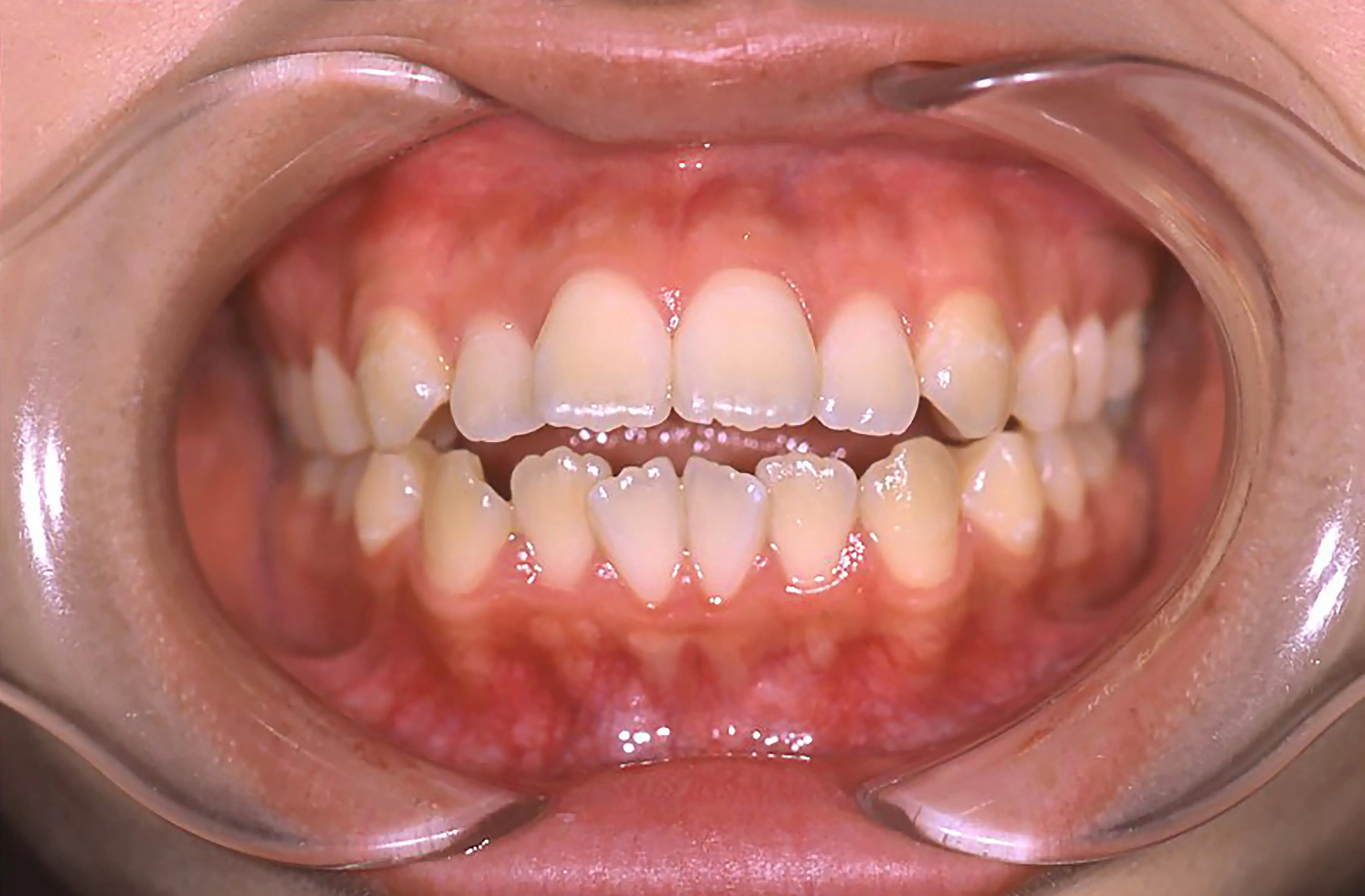
表側矯正の症例①:
表側矯正の症例1

治療前
表側矯正の症例1の治療前の画像
矢印 矢印
治療後
表側矯正の症例1の治療後の画像

この症例の詳細はこちら

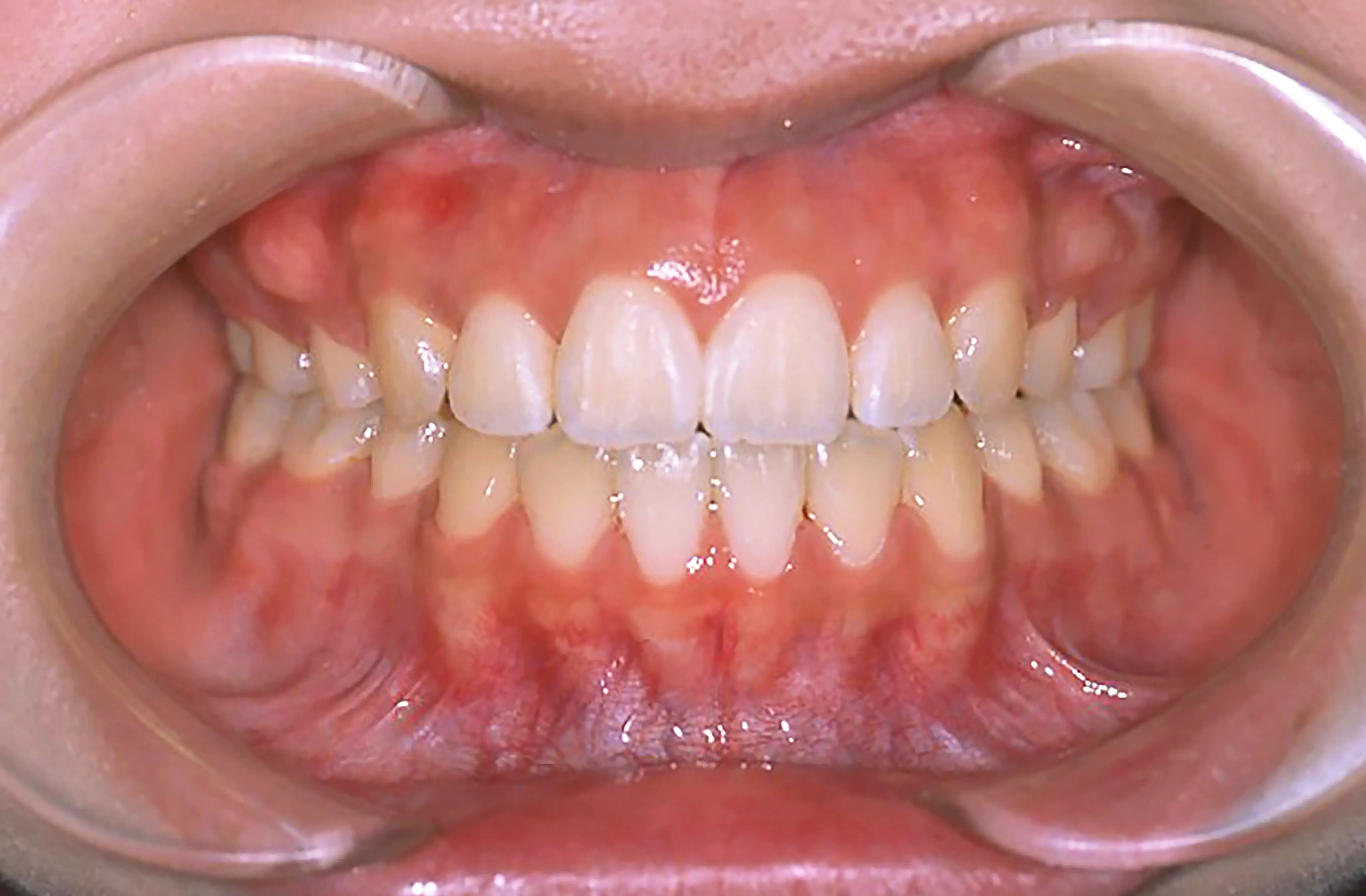
表側矯正の症例②:
表側矯正の症例2

治療前
表側矯正の症例2の治療前の画像
矢印 矢印
治療後
表側矯正の症例2の治療後の画像

この症例の詳細はこちら

ふじた矯正歯科クリニックのマウスピース矯正について

マウスピース矯正の費用

マウスピース矯正 440,000円~880,000円
初診カウンセリング 無料
検査診断料 38,500円

※掲載費用はすべて税込みです。

マウスピース矯正の治療の流れ

当医院での治療の流れを説明します。

1.初診カウンセリング

歯並びのお悩みや治療へのご要望などを丁寧にお伺いして、口腔内の状態をチェックします。虫歯・歯周病がある場合には、その治療を優先させます。
治療料金は患者さまに安心して治療を受けていただくため、初診カウンセリング時に詳しくご説明をさせていただきます。また治療料金の見積書もお渡しいたします。

※必要に応じてパノラマX線写真を撮影した場合のみ1,100円(税込)が必要となります。
(次回当院での検査に進まれる方は検査料より差し引かせていただきます。)
※他院にて矯正治療中で、セカンドオピニオンのご希望の方は3,300円(税込)が必要となります。

2.精密検査

矯正相談を受けていただき検査を希望されますと、レントゲン検査、CT検査、お顔やお口の中の写真撮影、印象採得(歯型取り)などの精密検査を行います。検査は状態によっては2回行う場合もございます。

3.治療計画のご説明

精密検査の結果をもとに、適切な治療計画をご提案いたします。
治療で使われる装置については、患者さまの症状によりますが、マウスピース型矯正装置が適応の場合にご提案させていただきます。

4.アライナー(マウスピース)の作製

マウスピース型矯正装置が適応しており、患者さまがご希望されれば、3D光学スキャナーを使って印象採得(歯型取り)を行います。
患者さまの歯型の3Dデータをもとに、専用のソフトウェアを使って事前シミュレーションを行います。コンピュータ上で歯の動きや仕上がりをご確認いただきながら、詳細に治療計画をご説明いたします。患者さまの歯型の3Dデータに、歯科医師が細かな修正を加えた後、マウスピース型矯正装置を作製いたします。通常、2週間程度で完成したマウスピース型矯正装置が当クリニックへ送られてきます。

5.治療開始

マウスピース型矯正装置が届いたら、歯列矯正を開始します。 当クリニックでマウスピースの着脱を練習していただき、使用上の注意点をお伝えした後、ご自宅でお持ち帰りいただきます。
マウスピースは通常、2週間に1回のペースで交換していきます。

6.定期検診

矯正中、1〜3ヶ月に1回の頻度でご来院いただき、歯並びの状態を確認し、新しいマウスピースをお渡しいたします。

7.治療終了

歯並びの状態を確認し、治療計画通り動いていることが確認できれば、歯列矯正は終了となります。

8.保定期間

マウスピース型矯正装置により動いた歯並びを安定させるために、保定装置(リテーナー)を装着していただきます。
保定期間は通常、歯列矯正の期間と同程度必要になります。保定期間が終わっても定期的なメインテナンスは大切です。

保定期間が終わった後も、定期的に当クリニックへお越しになり、メンテナンスを受けるようにしましょう。歯並びの状態や口腔内の健康状態などを確認し、より良い状態が維持できるようにサポートいたします。

マウスピース矯正の治療回数・期間

治療期間:
約半年~3年
通院回数:
6回~36回程度

ここが
スゴイ
ふじた矯正歯科クリニックのマウスピース矯正

マウスピース型矯正装置は大きく進歩を遂げ、一般の歯科医師でも矯正治療を取り扱えて、患者さまにもよくお選びいただける装置となりました。しかし実際は、まだ進化の過程であり、予定通りに歯が動かない場合や仕上がりに影響が出る可能性もあります。

当クリニックでは、マウスピース型矯正治療を適切に使用しているにもかかわらず、装置の機能による限界によって予定通り歯が動かない場合があります。そうしたケースによって治療期間が延長する可能性があれば、表側矯正に変更が可能です。
変更することで治療期間の大幅な延長を回避できます。また歯への負担を極力抑え、機能的なかみ合わせで終えられるようサポートしています。マウスピース型矯正装置だけでなく、表側矯正や裏側矯正(舌側矯正)を取り扱っている矯正歯科専門の歯科医院ならではの体制を整えています。

ふじた矯正歯科クリニックの小児矯正について

小児矯正の費用

小児矯正 混合歯列のお子さまの治療(年齢目安:5~12歳) 330,000円
小児矯正 マウスピース型矯正装置 440,000円
初診カウンセリング 無料
検査診断料 38,500円

※掲載費用はすべて税込みです。

小児矯正の治療の流れ

当医院での治療の流れを説明します。

1.初診カウンセリング

お子さまの歯並びの状態を確認して、小児矯正の内容をご説明します。
適切な治療開始のタイミングを逃さないためにも、早期のご相談がおすすめです。

※必要に応じてパノラマX線写真を撮影した場合のみ1,100円(税込)が必要となります。
(次回当院での検査に進まれる方は検査料より差し引かせていただきます。)
※他院にて矯正治療中で、セカンドオピニオンのご希望の方は3,300円(税込)が必要となります。

2.精密検査

レントゲン検査、お顔やお口の中の写真撮影、印象採得(歯型取り)などの精密検査を行います。必要に応じてCT検査も行います。

3.治療計画のご説明

精密検査の結果をもとに、適した治療計画をご提案いたします。

4.クリーニング・歯磨きのレッスンなど

まずはお口の中をクリーニングして、矯正中の虫歯を防ぐために、正しい歯磨き方法を指導します。

5.矯正治療開始

各種矯正装置を使って治療を開始します。 装置を装着したばかりの頃は、多少の痛みや不快感があるかもしれませんが、通常、数日から1週間程度で慣れていきます。治療中は1か月〜2か月に1度の通院が必要です。

6.治療終了

治療計画通り、歯が並んだら終了となります。
小児矯正後は、歯を安定させるために保定期間に移行します。

7.アフターケア

小児矯正により動いた歯の後戻りを防ぐために、保定装置(リテーナー)を装着します。
保定期間中も3ヶ月から1年に1回の頻度でご来院いただき、定期メンテナンスを行います。

小児矯正の治療回数・期間

治療期間:
1~3年
通院回数:
※成長と生え変わりがあるので、治療期間はお子さまの開始年齢にも左右されますので一概に何年とお答えするのは難しいです。ある程度一度バランスを整えるのにかかる期間としては1〜3年程度になります。

ここが
スゴイ
ふじた矯正歯科クリニックの小児矯正

小児矯正は成長と生え変わりによる変化があるため、成長を見極めて診断・治療を行う必要があります。そのため、患者さまの状態によっては判断が大変難しくなります。成人矯正や虫歯治療のように、今ある問題点を精査して治療して終了とはならないのが難しいのです。その見極めや診断力が大変重要となるのが小児矯正治療です。

患者さまの口腔内を丁寧に精査し、検査した結果をもとに、自らの経験と照らし合わせて診断しています。私は小児矯正にも力を入れて取り組んでいる大学病院で研さんを積んできました。長期間のお付き合いにはなりますが、一つ一つ丁寧にお話をしながら進めてまいります。

ふじた矯正歯科クリニック 特長の画像

ふじた矯正歯科クリニック
のご予約はこちら

おおうち矯正歯科クリニックのご紹介

おおうち矯正歯科クリニックは、愛媛県松山市にあるクリニックです。伊予鉄道松山市駅線・松山市駅から徒歩5分の場所にあります。

院長の大内雅博先生は日本矯正歯科学会の認定医です。自身も矯正治療を受けて、歯並びが良くなった経験があり、多くの方に矯正治療の素晴らしさを知ってほしいという思いで矯正歯科に特化した歯科医院を開業しました。「手間を惜しまず患者さんと一緒に努力する」をモットーに、患者さんと二人三脚できれいな歯並びを目指しています。

同クリニックでは、裏側矯正、マウスピース矯正、表側矯正に対応しており、特に裏側矯正に力を入れています。小さなお子さんから成人まで、幅広い年齢層の診療を行ってきた大内院長は、患者さんとの対話を大切にしている歯科医師です。

裏側矯正を得意とするのは、患者さんが満足する治療の提供を考えているからです。また初診時に希望や悩みを伺い、理想の顔立ちを共有できるよう努めています。

そのために入念な検査で患者さんの状態を掴み、丁寧な説明を行い、治療計画を一緒に作成していきます。通院が負担になっている方向けにオンライン診療も受け付けています。

おおうち矯正歯科クリニック・日本矯正歯科学会認定医・大内 雅博

大内 雅博 歯科医師の画像

患者さんに寄り添うカウンセリングを大切にしています

私自身子どもの頃に歯並びを気にしていた時期があり、矯正治療を受けた経験があります。治療中は、月日がたつごとに歯並びが整っていくのを見ながら喜んでいたことを思い出します。

その後、歯科医師として研修医となったとき、ある患者様から歯並びについて相談を受けました。しかし当時の私は、矯正治療に関する深い知識や技術がなく説明に窮してしまったのです。私が受けた矯正治療の喜びを、あの方へ提供できなかったことが強い心残りとなり、それから矯正歯科治療について学びはじめました。

今なら悩める患者様に貢献でき、また幼かった頃に抱いた喜びを患者様と共有できると思い、お世話になった愛媛の地で矯正歯科医師の人生を歩もうとここに開業いたしました。

「矯正歯科治療を通じて患者様の想いに応えたい」「笑顔あふれる人生のお役に立ちたい」という想いで真剣に仕事に取り組んでいます。

大内 雅博先生にインタビュー!

矯正歯科ネットプラス編集部の画像
矯正歯科
ネットプラス
編集部

先生の趣味や休日の過ごし方は?

大内 雅博 歯科医師の画像
大内 雅博
歯科医師

幼い子供が2人いるので、奥さんと子供を連れて家族でお出かけしています。愛媛県内の子どもが楽しめるイベントに行ったり、川の釣り堀に行ったり、流しそうめんなど季節ごとの遊びを一緒に楽しんだりすることが多いです。四国内だと、香川の水族館とか県外に足を延ばすこともあります。

あとは高校まで硬式テニスをやっており、今でも続けています。休日は家族と過ごしているので、診療後にやることが多いです。歯医者仲間と週に2~3回くらい集まって体を動かしています。本格的な運動を継続することで、体力維持向上にも繋がり集中力やバイタリティが重要になってくる診療にも活きていると思います。

矯正歯科ネットプラス編集部の画像
矯正歯科
ネットプラス
編集部

矯正歯科医になられたきっかけは何ですか?

大内 雅博 歯科医師の画像
大内 雅博
歯科医師

自分自身、子どもの頃に歯並びを気にして矯正の先生に診てもらった経験があるんです。そのとき、月日がたつごとに歯並びがきれいになるのを見て喜んだことを覚えています。

きっかけは、まだ矯正医になることを決めていない歯科医師の研修医時代の出来事からです。当時、70歳手前の女性患者様から歯並びについて相談を受けました。その頃の私は知識も技術もなく説明に窮してしまい、自分が受けた矯正治療の喜びを提供することができなかったのです。そのことを強く悔やみました。

それから矯正歯科治療を専門的に学ぶことを決め、研さんを積み重ね、今なら悩める患者様に役に立てると思い、また幼かった頃に経験した喜びを患者様と共有できると考えて、お世話になった愛媛の地で矯正歯科医師としての人生を歩もうと、ここに開業いたしました。

矯正歯科ネットプラス編集部の画像
矯正歯科
ネットプラス
編集部

先生の得意な矯正治療分野や、特に力を入れていることはありますか?

大内 雅博 歯科医師の画像
大内 雅博
歯科医師

当院では通常の表側矯正から目立ちにくい舌側(裏側)矯正、マウスピース矯正、顎の骨が関わる外科矯正などあらゆる治療を提供しています。これは、患者様が満足した治療が提供できるかどうかを最重要視しているためです。

「自分がなりたい顔になるため」、「噛み合わせが気になる」、「お口元や表情に自信がない」など歯並びを考える理由は様々です。当院では、いかにお悩みを相談しやすくするかを考え、個室のカウンセリングルームを用意しています。

そしてお悩みをしっかりと共有し合い、理想の歯並び、噛み合わせを目指して二人三脚でゴールに向かえるよう努力しています。

アクセス・住所・診療時間

おおうち矯正歯科クリニック 紹介の画像
  • アクセス
    伊予鉄線『松山市駅』より徒歩5分
  • 住所
    愛媛県松山市千舟町4-3-1 伊賀上ビル101
  • 電話
    089-910-2385
診療時間

※隔週水曜 14:00〜21:00 で夜間診療
※土曜・日曜は隔週で診療
※木曜・祝日は休診

支払い方法

  • 現金
  • クレジットカード可
    (VISA、Master card、JCB、American Express、Diners Club)

おおうち矯正歯科クリニックの裏側矯正について

裏側矯正の費用

裏側矯正 1,188,000円
カウンセリング 2,750円
一次検査料 3,850円
二次検査料 子供7,700円
大人16,500円

※掲載費用はすべて税込みです。

裏側矯正の治療の流れ

当医院での治療の流れを説明します。

1.カウンセリング

初診では、しっかりと向き合うためにも、あらかじめ電話かメールでの予約をお願いしております。先ずは、患者さんのお悩みと治療に対するご要望からお伺いします。その後、お口の中の診査を行い、問題点の整理と提案できる治療や装置、費用、治療における注意点をご説明します。

2.一次検査

より詳しく状態を知るため、歯並び全体が入るレントゲン1枚とお口の中の写真をそれぞれ撮影します。状態を知ることで、より詳しいご説明ができるからです。
※初診時に一次検査を行うことをおすすめしています。

3.二次検査

具体的な治療計画を作成する上で、必要な歯型の採取や機能検査などの精密検査を行います。
※検査内容によって診療時間、費用は異なります。

4.診断

二次検査の約2週間後に診断を行い、治療計画と矯正基本料金をご提案します。矯正治療について十分理解した上で治療に進んでいただけるよう、シミュレーションなどを用いて丁寧に分かりやすくご説明します。十分に納得していただければ、治療を開始します。

5.矯正治療開始

矯正装置を装着し、歯の移動が始まります。装置装着時は治療時間が長めにかかります。その後は月1回(約30~60分)の割合で来院いただきます。治療を順調に進めるためには普段のお手入れ(ブラッシング)が大切です。装置装着後にはブラッシング指導も行います。

6.治療完了

噛み合わせが改善したら矯正装置を外します。期間は個人差がありますが、およそ2~3年(抜歯をする場合は1~2年)です。ただし、治療はまだ完全には終わっていません。移動した歯は元に戻りやすくなっているからです。きれいになった歯並びを安定させるための装置(リテーナー)を使って保定します。

7.保定開始

保定装置は少なくとも2~3年使用していただき、歯並びの安定と親知らずの歯並びへの影響を観察します。また数か月から半年に一度、全体のクリーニングと噛み合わせのチェックを行います。

8.定期検査

当クリニックでは、保定後も噛み合わせを中心に定期チェックを実施しています。虫歯や歯周病、その他の歯科治療に関しては専門医院にご紹介しています。

裏側矯正の治療回数・期間

治療期間:
2〜3年
通院回数:
20回

ここが
スゴイ
おおうち矯正歯科クリニックの裏側矯正

裏側矯正とは、歯の表側ではなく裏側(舌側)に装置をつける矯正方法です。見た目では装置をつけていることが分かりにくく、治療期間は表側からの矯正とほとんど変わりません(個人差があります)。

舌と唾液の作用で表側装置よりも虫歯になりにくい傾向があり、舌の悪い癖(自然に舌で歯を押したり、前に突き出す癖)が改善しやすくなるというメリットもあります。

当院では、治療手段に関わらず患者様一人ひとりに寄り添い、満足していただけるゴールを目指しています。カウンセリングでは、患者様のお悩みをしっかり聴き、様々な角度から丁寧に検査を行って、正確なデータを取り、問題点はすべて提示します。
その検査結果をもとに、歯をどこにどう動かすかを設計し、治療のゴールを互いに共有して計画を決定します。後は二人三脚できれいな歯並びを目標に一緒に努力していきます。

最終的に患者様が満足できたかどうかを最重要視しますが、矯正治療の完成度を客観的に判断するため、アメリカ矯正歯科学会(ABO)が定めた矯正歯科臨床の評価システム(OGS)を使用しています。このシステムの判断結果に基づき、足りなかった点を追求することで更なる技術と満足度の向上を目指しています。

おおうち矯正歯科クリニック 特長の画像

おおうち矯正歯科クリニック
のご予約はこちら

日本矯正歯科学会とは

日本矯正歯科学会とはの画像

日本矯正歯科学会とは歯科矯正学の専門知識や技術の研究や普及を目的とした学術団体です。 矯正歯科の専門家による研究成果の発表や意見交換の場を提供し、矯正歯科医療の質の向上を図っています。

認定医・指導医・臨床医とは

とはの画像

矯正歯科治療に必要な専門知識と十分な臨床経験を備えた歯科医師に対して、日本矯正歯科学会が認定する資格です。
「臨床医」という名称は、以前は「専門医」、その後は「臨床指導医」と呼ばれていましたが、医師としての高度な知識や技術に加え、他の歯科医師や医師と連携し、適切な指示を出せる立場であることを明確にするため、2025年に「臨床医」へと改称されました。
また「指導医」は、今後「研修指導医」という名称へ移行する予定とされています。

日本矯正歯科学会の認定医は、矯正治療に関する専門的な知識と技術をしっかり身につけた歯科医師です。
認定医になるためには以下の条件が必要です。

  • 歯科医師の資格を持っていること
    国家資格である歯科医師免許を取得している必要があります。
  • 学会に長く所属していること
    日本矯正歯科学会に5年以上、継続して所属していることが条件です。
  • 専門的な研修と経験を積んでいること
    学会が認めた研修施設で矯正歯科の基本研修を修了し、その後も含めて少なくとも5年以上、臨床経験を積むことが求められます。
    ※または、それと同等の知識や技術を持っていると判断された場合も認められます。
  • 専門施設での勤務経験
    原則として、研修施設に常勤していることが望まれます。
  • 学術的な活動
    学会が認める学術誌に、矯正歯科に関する研究論文を発表していること。
  • 倫理を守ること
    学会の倫理規定や、医療広告ガイドラインを遵守していること。

指導医は、矯正歯科の臨床経験に加え、後進の育成や教育にも携わる歯科医師です。
指導医になるには以下の条件が必要です。

  • 歯科医師の資格を持っていること
    国家資格である歯科医師免許を取得している必要があります。
  • 長期間の臨床・教育・研究の経験
    矯正歯科の臨床・教育・研究に12年以上専従していることが求められます。
  • 教育歴があること
    矯正歯科臨床に関して、少なくとも3年以上の教育歴が必要です。
  • 学術活動の実績
    矯正歯科分野において、研究発表や論文発表など、相当の学術活動の実績が求められます。

臨床医は、矯正治療の専門家としてさらに高い基準を満たした歯科医師です。
臨床医になるには以下条件が必要です。

  • 歯科医師の資格を持っていること
    国家資格である歯科医師免許が必要です。
  • 認定矯正歯科専門医資格を持っていること
    原則として、日本歯科専門医機構の「認定矯正歯科専門医」の資格を取得していること。
  • 学会認定医であること
    日本矯正歯科学会の「認定医」資格を持っていることが条件です。
  • 長期間の学会所属
    日本矯正歯科学会に7年以上継続して所属している必要があります。
  • 学術活動を行っていること
    学会が認める学術誌や学会で、矯正治療に関する報告や発表をしていること。
  • 倫理とガイドラインを守ること
    学会の倫理規定や、厚生労働省・学会が定める医療広告ガイドラインを遵守していること。

参考:日本矯正歯科学会サイト

メディカルネット顧問歯科医師:常盤 肇

これらの資格を有する歯科医師は、矯正歯科治療に関する研修や学会活動に取り組み、日々知識や技術を磨いています。歯科医院を選ぶ際のひとつの参考として、気になる方はチェックしてみてください。

まとめ

いかがでしたか?矯正歯科ネットプラス編集部がおすすめする愛媛県松山市で認定医・指導医・臨床医がいる矯正歯科医院をご紹介しました。
愛媛県松山市には、アクセスしやすい医院や休日診療など、患者さんのお悩みに対応したクリニックがたくさんあります。
お口のお悩み、通院のお悩みに合わせ、まずは編集部おすすめの認定医・指導医・臨床医がいる矯正歯科医院で相談してみてはいかがでしょうか。

矯正歯科ネットプラス編集部

この記事の執筆者

矯正歯科ネットプラス編集部

矯正歯科ネットプラス編集部は、メディカルネットが運営する矯正歯科に特化した情報サイト「矯正歯科ネットプラス」で日々配信を行っています。

保有資格について

矯正歯科ネットプラス編集部には、歯科医師・歯科衛生士が在籍しております。

関連記事 Related articles

おすすめ矯正歯科

矯正治療を検討する際「どんな治療方法に対応しているか」や
「通いやすい場所にあるか」なども重要なポイントです。
当サイトでは、マウスピース矯正や裏側矯正などの治療法別、
またエリア別にも矯正歯科医院を紹介しています。

おすすめ矯正歯科を見る