中野駅ウエスト矯正歯科
矯正歯科治療の症例
- 更新日
中野駅ウエスト矯正歯科の表側矯正
症例
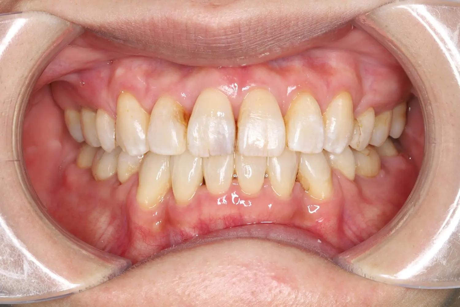
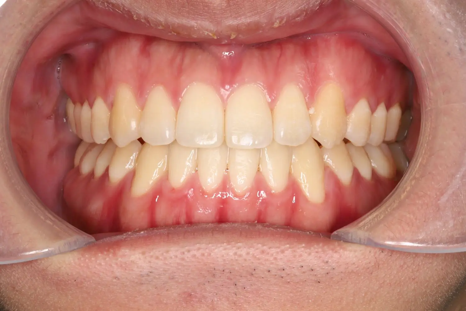
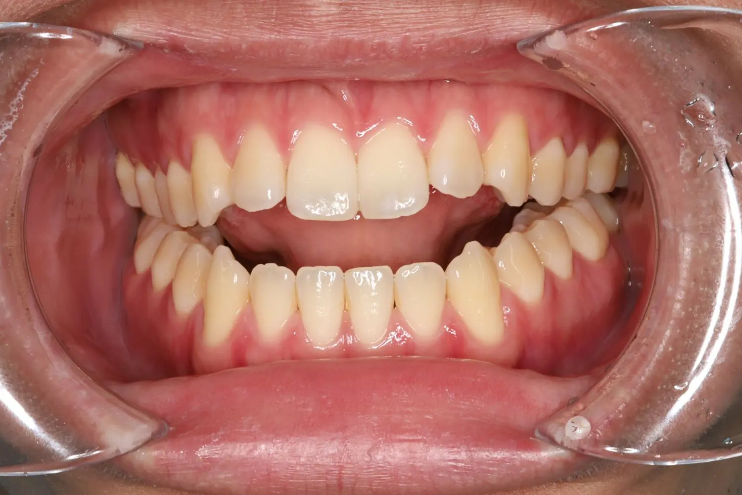
その1前歯でモノが噛めない
- 掲載日
- 2026年2月24日
症例情報
| 年齢 | 20代男性 |
| 主訴 | 前歯でモノが噛めない |
| 治療期間・治療回数 | 1年3か月 |
| 相談費用 | 0円 |
| 検査・診断費用 | 33000円(税込) |
| 治療費 | 990,000円(税込) |
| 毎月の処置費用 | 0円 |
| 保定装置費用 | 0円 |
| 治療費総額 | 990,000円(税込) |
治療内容
非抜歯
考えられるリスク
歯髄壊死、歯根吸収、歯肉退縮、ブラックトライアングル
担当医からのコメント
上顎歯列と下顎歯列の咬合平面を一致させることで非抜歯にて開咬を改善することができました。患者様の協力度が高く、ゴムかけを頑張ってくれたので短期間で動的治療を終了できました。
症例
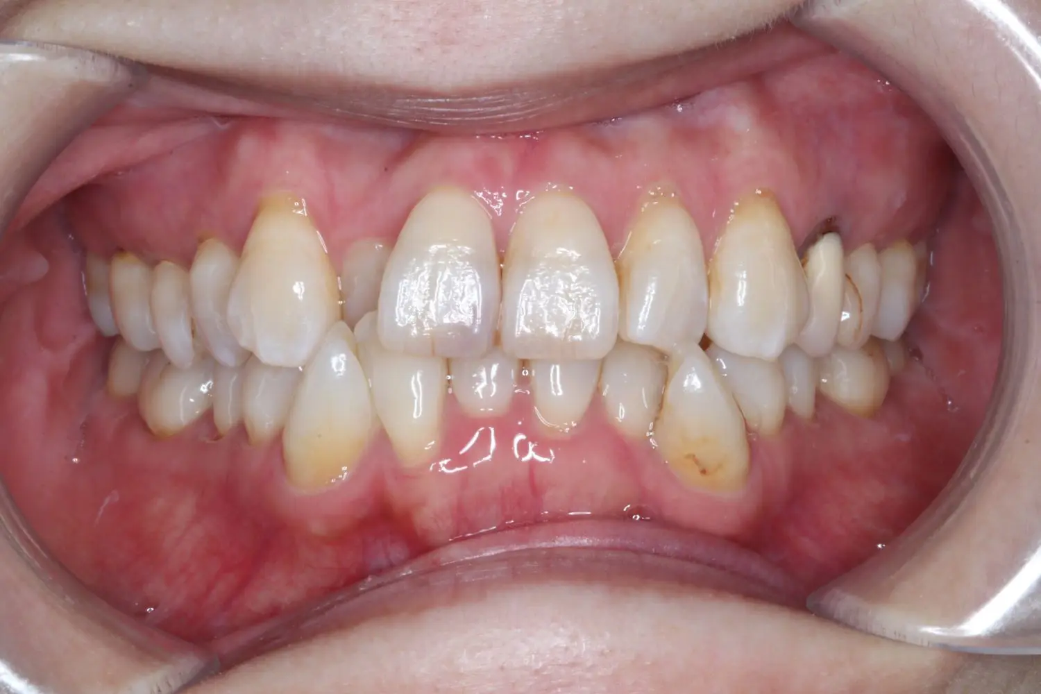
その2ガタガタ
- 掲載日
- 2026年2月25日
症例情報
| 年齢 | 50代女性 |
| 主訴 | ガタガタ |
| 治療期間・治療回数 | 2年3か月 |
| 相談費用 | 0円 |
| 検査・診断費用 | 33000円(税込) |
| 治療費 | 990,000円(税込) |
| 毎月の処置費用 | 0円 |
| 保定装置費用 | 0円 |
| 治療費総額 | 990,000円(税込) |
治療内容
上下顎左右側第一小臼歯抜歯(4本)
考えられるリスク
歯髄壊死、歯根吸収、歯肉退縮、ブラックトライアングル
担当医からのコメント
ガタガタの程度が強いため、4本抜歯することで叢生を改善するスペースを確保しました。年齢とともに歯が動きづらくなりますが、矯正治療は十分に行えます。無理のない治療計画で歯肉退縮など副作用を抑えられました。
表側矯正の副作用
- 矯正治療により歯根が短くなる(歯根吸収)が起こる場合があります。
- 歯肉が下がる(歯肉退縮)ことがあり、ブラックトライアングルが生じることがあります。
- 矯正治療に伴う力の影響で歯に細かなヒビ(クラック)が入ることがあります。
- 装置やワイヤーによる口内の痛み・不快感、粘膜の擦り傷が生じる場合があります。
- 治療初期に歯の浮いたような痛みが続くことがあります。
- 装置の構造上、清掃が難しくなり、虫歯や歯周病のリスクが高まることがあります。
- 治療終了後に歯が元の位置に戻る(後戻り)が起こることがあります。
- 顎関節症(顎の痛み、開口障害、関節音など)が生じることがあります。
- 金属アレルギーが起こる場合があります(ワイヤーや金属装置を使用する場合)。
中野駅ウエスト矯正歯科
アクセス・住所・診療時間
-
アクセスJR中央線・総武線『中野駅』南口より徒歩3分
東京メトロ東西線『中野駅』南口より徒歩3分 -
住所東京都中野区中野3-40-24 Nakano West 2階
-
電話03-6454-1620
| 診療時間 | 月 | 火 | 水 | 木 | 金 | 土 | 日 |
|---|---|---|---|---|---|---|---|
| 〜 | ● | ● | ● | ● | ● | ● | ● |
| 〜 | ● | ● | ● | ● | ● | △ | △ |
※土曜・日曜 10:00~13:00 / 14:30~18:30
※不定休(詳しくは医院へお問い合わせください)