きれいな歯並びは
歯医者選びから!

医療法人社団STDC 白金高輪デンタルクリニック
矯正歯科治療の症例

医療法人社団STDC 白金高輪デンタルクリニックのインビザライン

症例
その1
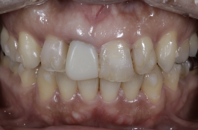
差し歯のところが痛む(ブリッジが困難なため前歯のみ部分矯正)

治療前
差し歯のところが痛む(ブリッジが困難なため前歯のみ部分矯正)の治療前の画像
矢印 矢印
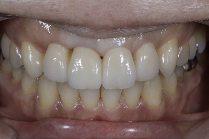
治療後
差し歯のところが痛む(ブリッジが困難なため前歯のみ部分矯正)の治療後の画像

症例情報

年齢 50代女性
主訴 差し歯のところが痛む(前歯右側1番)とのことで来院されました。差し歯を外してみると、根が割れていたため抜歯が必要と診断し、元々の歯並びではブリッジを作製することが困難なため、前歯のみ『インビザラインGo』で矯正治療を行いました。
治療期間・治療回数 12か月
2か月に1回(合計6回)
相談費用 初診相談は無料
検査・診断費用 82,500円(税込)
治療費 440,000円(税込)
毎月の処置費用 11,000円(税込)
保定装置費用 66,000円(税込)
治療費総額 654,500円(税込)

治療内容

矯正期間中は、目立たない矯正をしたいとご希望でしたので、透明で目立たないマウスピース型矯正装置『インビザラインGo』で治療を行いました。

考えられるリスク

インビザラインで推奨されている一日の作用時間は20時間以上です。使用時間をきちんと守らないと歯の移動に時間がかかり、治療期間も長くなってしまいますので、自己管理は必須になります。またマウスピースがきちんと入っているか、歯の移動がきちんと行われているかの確認を行うために、毎月の定期検診は必ずご来院ください。

※歯の移動速度や方向には個人差があります。

担当医からのコメント

医療法人社団STDC 白金高輪デンタルクリニック理事長の矢田 拓也です。『インビザライン』は取り外しの可能な透明なマウスピースタイプの矯正装置です。そのため、付けていても矯正をしていることが周囲の人にほとんど分からないくらい自然で目立たないこともあります。ワイヤー矯正のように目立つ矯正は避けたい方に向いています。

「歯並びで気になる部分は前歯だけ」という方は『インビザラインGo』が向いています。前方の20本のみの移動に対応しているので、奥歯を含めたすべての歯を動かす場合よりも費用も抑えることが可能です。結婚式や大事なイベントに備えて矯正治療を行いたい方は、お気軽にご相談ください。

担当医

インビザラインの副作用

  • インビザラインは未承認医薬品・医療機器等であり、医薬品副作用被害救済制度の対象外です。
  • 1日20時間以上のマウスピース型矯正装置を装着する必要があります。
    管理ができていない場合、効果が得られないことがあります。
  • 患者さんの歯並びによっては、効果が得られない場合があります。
    特に、骨格に起因する叢生および不正咬合には効果が得られない可能性があります。
  • インビザラインの長期治療により、開口になる恐れがあります。
  • インビザラインの使用により、顎関節に問題が生じる場合があります。
    関節痛や頭痛、耳の障害を引き起こす可能性があります。
  • インビザラインによる矯正治療に伴い、歯に痛みを感じる可能性があります。
  • インビザラインによる矯正治療に伴い、歯根吸収が起こる可能性があります。
  • インビザラインによる矯正治療に伴い、歯の神経が壊死する可能性があります。

医療法人社団STDC 白金高輪デンタルクリニック

医療法人社団STDC 白金高輪デンタルクリニック インビザラインの画像

アクセス・住所・診療時間

  • アクセス
    東京メトロ南北線・都営三田線『白金高輪駅』より徒歩1分
  • 住所
    東京都港区高輪1-3-14 アスペン高輪ビル5階
  • 電話
    03-5789-3600
診療時間

※土曜 10:00~13:00 / 14:30~17:00
※土曜日の最終受付は16:00
※矯正治療は第2木曜と第2日曜
※第2日曜の矯正治療(診療時間) 10:00~18:00
※日曜午後・祝日は休診です