きれいな歯並びは
歯医者選びから!

医療法人梅田リンガル 矯正歯科医院大阪オルソ
矯正歯科治療の症例

医療法人梅田リンガル 矯正歯科医院大阪オルソのインビザライン

症例
その1
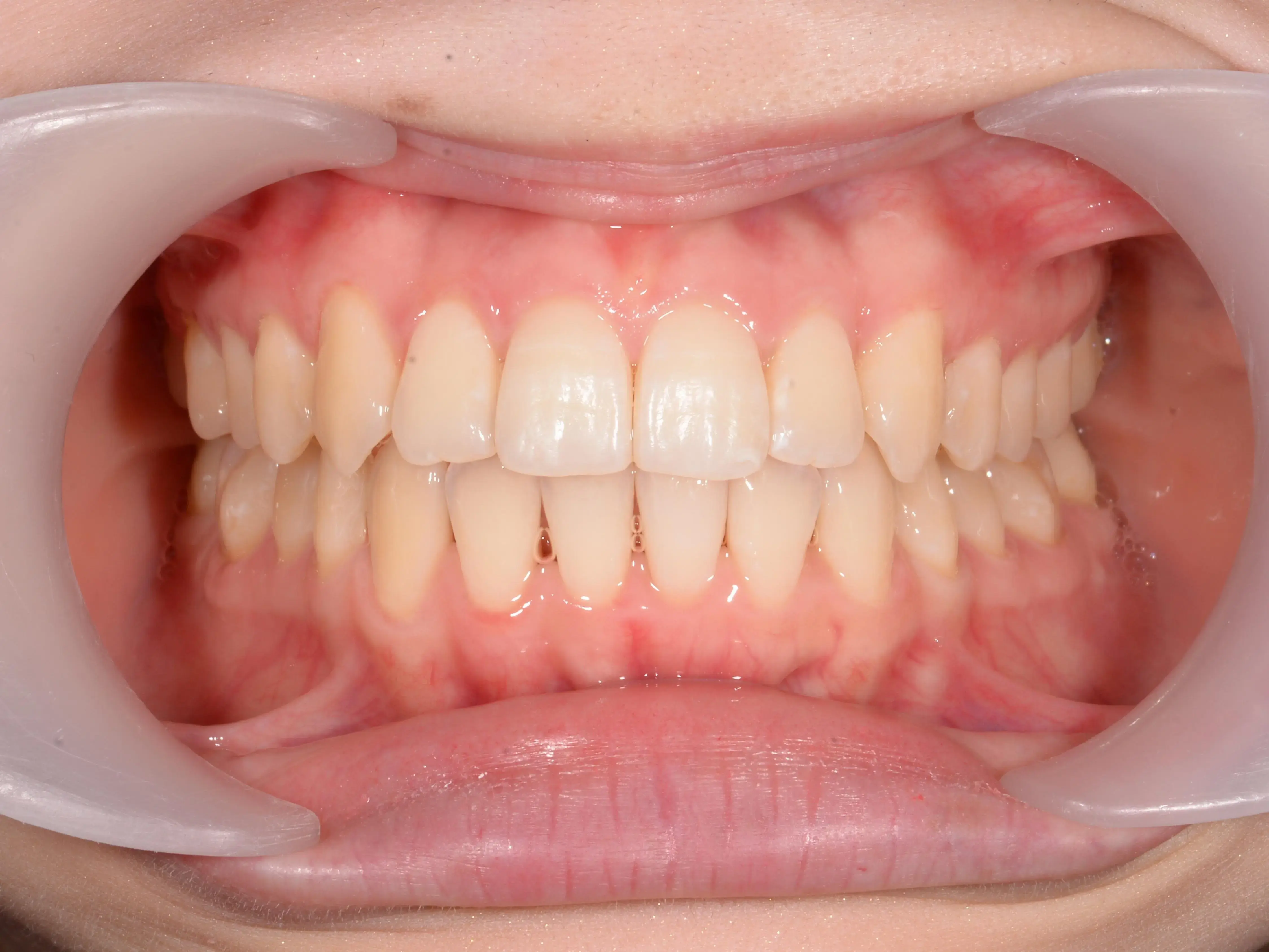
八重歯と上下の歯の中心のずれが気になる

治療前
八重歯と上下の歯の中心のずれが気になるの治療前の画像
矢印 矢印
治療後
八重歯と上下の歯の中心のずれが気になるの治療後の画像

症例情報

年齢 20代女性
主訴 八重歯と上下の歯の中心のずれが気になる
治療期間・治療回数 1年8ヶ月(2022/9/2〜2024/5/14)
1ヶ月半に1回(合計13回)
相談費用 3,000円
検査・診断費用 50,000円
治療費 990,000円(検査診断料金を含めると1,043,000円になります)
毎月の処置費用 トータルフィーなので追加の費用はかかりません
保定装置費用 治療費に含む(破損紛失した場合は1装置につき5,000円)
治療費総額 1,043,000円

治療内容

右上3番の低位唇側転移および上下前歯の叢生改善を行いました。装置はマウスピース型矯正装置を選択し、CTデータを確認しながら歯根が顎骨内に収まるように配列しています。

考えられるリスク

重度の叢生を非抜歯で治療する場合には歯根が骨に収まりきらず、歯肉退縮のリスクがあります。CTとシミュレーションの重ね合わせを行い、治療計画を立案しました。

担当医

インビザラインの副作用

  • インビザラインは未承認医薬品・医療機器等であり、医薬品副作用被害救済制度の対象外です。
  • 1日20時間以上のマウスピース型矯正装置を装着する必要があります。
    管理ができていない場合、効果が得られないことがあります。
  • 患者さんの歯並びによっては、効果が得られない場合があります。
    特に、骨格に起因する叢生および不正咬合には効果が得られない可能性があります。
  • インビザラインの長期治療により、開口になる恐れがあります。
  • インビザラインの使用により、顎関節に問題が生じる場合があります。
    関節痛や頭痛、耳の障害を引き起こす可能性があります。
  • インビザラインによる矯正治療に伴い、歯に痛みを感じる可能性があります。
  • インビザラインによる矯正治療に伴い、歯根吸収が起こる可能性があります。
  • インビザラインによる矯正治療に伴い、歯の神経が壊死する可能性があります。

医療法人梅田リンガル 矯正歯科医院大阪オルソ

医療法人梅田リンガル 矯正歯科医院大阪オルソ インビザラインの画像

アクセス・住所・診療時間

  • アクセス
    JR各線『大阪駅』より徒歩1分
    大阪メトロ四つ橋線『西梅田駅』より徒歩5分
    阪神線『大阪梅田駅』より徒歩5分
    阪急各線『大阪梅田駅』より徒歩7分
    大阪メトロ御堂筋線『梅田駅』より徒歩7分
    JR東西線『北新地駅』より徒歩8分
    大阪メトロ谷町線『東梅田駅』より徒歩10分
  • 住所
    大阪府大阪市北区梅田3-2-123 イノゲート大阪12階
  • 電話
    0120-185-688
診療時間

※土・日曜 09:30~12:30 / 14:00~18:30
※月・木・第3日曜は休診日となります