青山アール矯正歯科・大阪
矯正歯科治療の症例
- 更新日
青山アール矯正歯科・大阪のインビザライン
症例
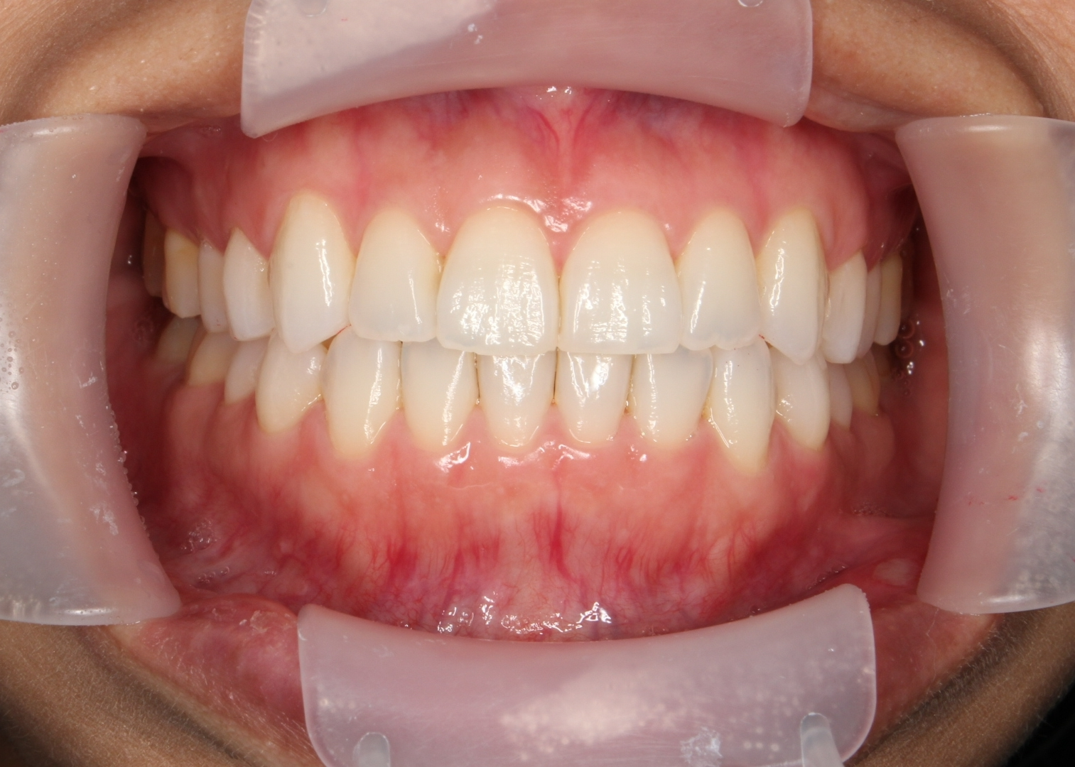
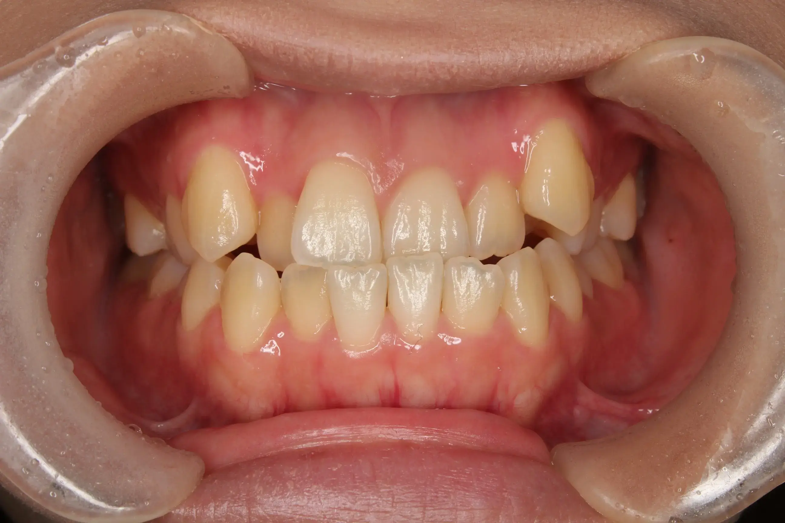
その1前歯のガタガタが気になる
- 掲載日
- 2026年4月27日
症例情報
| 年齢 | 19歳(初診時)女性 |
| 主訴 | 前歯のガタガタが気になる |
| 治療期間・治療回数 | 2023/1/11~2024/9/20までの約1年9か月 12回 |
| 相談費用 | 3,000円(税込) |
| 検査・診断費用 | 55,000円(税込) |
| 治療費 | 880,000円(税込) |
| 毎月の処置費用 | 0円 |
| 保定装置費用 | 22,000円(税込) |
| 治療費総額 | 960,000円(税込) |
治療内容
叢生(歯のガタガタ)を除去するためインビザラインにて治療を行いました。
考えられるリスク
正しい装着方法で1日20時間以上使用しなかった場合、治療期間が延びる可能性があります。
治療完了後は後戻りを防ぐため、保定装置の装着が必要になります。
お口の中の状態によっては、治療計画通りの結果が得られない場合もあります。
治療によって、まれに歯根吸収や歯肉退縮が起こる場合があります。
治療途中でワイヤー治療への変更が必要な場合があります。
お口の状態によってはインビザラインに加え、補助矯正器具が必要になる場合があります。
薬機法対象外の矯正装置であり、医薬品副作用被害救済制度の対象外となる場合があります。
担当医からのコメント
治療はスムーズに進み、きれいな歯並びに仕上がりました。かみ合わせもよく、1年9か月で治療を終えました。
症例
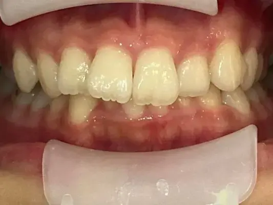
その2反対咬合を治したい
- 掲載日
- 2026年4月27日
症例情報
| 年齢 | 20代女性 |
| 主訴 | 反対咬合を治したい |
| 治療期間・治療回数 | 2011/11/29~2013/3/8までの1年4か月 12回 |
| 相談費用 | 3,000円(税込) |
| 検査・診断費用 | 33,000円(税込) |
| 治療費 | 990,000円(税込) |
| 毎月の処置費用 | 0円 |
| 保定装置費用 | 22,000円(税込) |
| 治療費総額 | 1,048,000円(税込) |
治療内容
前歯の反対咬合を主訴に来院されました。インビザラインのみで治療を完了しました。矯正治療終了後にホワイトニングを行い、きれいな歯並びと色の両立を実現できました。
考えられるリスク
正しい装着方法で1日20時間以上使用しなかった場合、治療期間が延びる可能性があります。
治療完了後は後戻りを防ぐため、保定装置の装着が必要になります。
お口の中の状態によっては、治療計画通りの結果が得られない場合もあります。
治療によって、まれに歯根吸収や歯肉退縮が起こる場合があります。
治療途中でワイヤー治療への変更が必要な場合があります。
お口の状態によってはインビザラインに加え、補助矯正器具が必要になる場合があります。
薬機法対象外の矯正装置であり、医薬品副作用被害救済制度の対象外となる場合があります。
担当医からのコメント
今後はリテーナーの装着が大切です。
インビザラインの副作用
- インビザラインは未承認医薬品・医療機器等であり、医薬品副作用被害救済制度の対象外です。
- 1日20時間以上のマウスピース型矯正装置を装着する必要があります。
管理ができていない場合、効果が得られないことがあります。 - 患者さんの歯並びによっては、効果が得られない場合があります。
特に、骨格に起因する叢生および不正咬合には効果が得られない可能性があります。 - インビザラインの長期治療により、開口になる恐れがあります。
- インビザラインの使用により、顎関節に問題が生じる場合があります。
関節痛や頭痛、耳の障害を引き起こす可能性があります。 - インビザラインによる矯正治療に伴い、歯に痛みを感じる可能性があります。
- インビザラインによる矯正治療に伴い、歯根吸収が起こる可能性があります。
- インビザラインによる矯正治療に伴い、歯の神経が壊死する可能性があります。
青山アール矯正歯科・大阪
アクセス・住所・診療時間
-
アクセス大阪メトロ千日前線『桜川駅』5番出口より徒歩1分
JR関西本線・阪和線『難波駅』より徒歩5分
各線『なんば駅』26番A出口より徒歩6分
大阪市営バス『幸町一丁目』停留所より徒歩1分 -
住所大阪府大阪市浪速区幸町1-3-19 昭和綜合管理本社ビル3階
-
電話06-6561-4181
| 診療時間 | 月 | 火 | 水 | 木 | 金 | 土 | 日 |
|---|---|---|---|---|---|---|---|
| 〜 | ● | ● | ● | ー | ● | △ | ー |
| 〜 | ● | ● | ● | ー | ● | △ | ー |
※土曜 10:00~13:00 / 14:00~18:30
※木曜・日曜・祝日は休診日です