【2025年】千葉県千葉市でインビザライン取り扱いおすすめ矯正歯科
- 更新日

千葉県千葉市でインビザラインができるおすすめの歯医者さん(矯正歯科)をご紹介します。
千葉県千葉市でインビザラインをするならどこのクリニック?何に注目して選ぶべき?そんなお悩みがある方に本記事はおすすめです。
この記事で紹介する千葉県千葉市でインビザラインに対応しているおすすめの矯正歯科医院は下記の通りです。
- 千葉総合歯科稲毛 矯正歯科
矯正歯科医院選びの参考として、アクセスや診療時間などの基本情報や医院ごとの特長、院内写真などを掲載しています。
インビザラインを検討中の方はぜひ読んでみてください。
※2025年4月時点 おすすめしたい歯科医院は、株式会社メディカルネットが20年以上にわたり歯科医院情報サイトを運営して得た情報に基づき掲載しております。
治療法の選択肢が多い、通院しやすい立地、充実した設備・医療機器に加えて、日曜診療や夜間診療対応、アフターケアや保証の有無などを基準に医院を選定しています。
【2025年】千葉県千葉市でインビザライン取り扱いおすすめ矯正歯科
千葉総合歯科稲毛 矯正歯科

アクセス・住所・診療時間
-
アクセスJR総武快速、横須賀線、中央・総武線『稲毛駅』東口より徒歩すぐ
-
住所千葉市稲毛区小仲台2-5-3 稲栄ビル1階・6階・7階
-
電話043-445-8810
診療時間 | 月 | 火 | 水 | 木 | 金 | 土 | 日 |
---|---|---|---|---|---|---|---|
〜 | ● | ● | ● | ● | ● | ● | ● |
〜 | ● | ● | ● | ● | ● | △ | △ |
※土曜・日曜 9:00~13:00 / 14:00~17:00
※祝日は休診
千葉総合歯科稲毛 矯正歯科のご紹介

千葉総合歯科稲毛 矯正歯科は1976年に開院した歯科医院です。JR中央・総武線「稲毛駅」から徒歩すぐの場所にあり、目印になるよう東口を出た左斜め前方に一目で分かる看板が設置されています。
虫歯や歯周病といった一般的な歯科治療から、インプラント治療や矯正治療といった自由診療まで幅広く取り扱っています。ワイヤーとブラケットを使った矯正治療のほか、透明で目立ちにくく患者さん自身で取り外しできるマウスピース「インビザライン(※)」を使った矯正治療に対応しています。
祝日を除き土曜・日曜も診療しており、お子さんから大人まで幅広い年代の患者さんが通院しています。
同院はビルの1階・6階・7階と3つのフロアに分かれていて、ユニットは合わせて23台あり(2025年4月時点)、フロアごとに空間づくりが異なっています。たとえば、1階の待合室はホワイトの大理石を基調としたデザインで、パウダールームを備えるなど女性の患者さんにも配慮しています。
同院では、インビザラインを使用した部分矯正や、3〜4歳といった低年齢に特化した治療も行っています。矯正治療の無料相談を受け付けているので、インビザラインを使った矯正治療に興味がある方は相談に訪れてみてはいかがでしょうか。
(※)未承認医薬品等であるため医薬品副作用被害救済制度の対象とはならない可能性があります。
千葉総合歯科稲毛 矯正歯科の特長
インビザラインの費用
インビザライン エクスプレス | 218,000円 |
インビザライン ライト | 440,000円 |
インビザライン モデレート | 660,000円 |
インビザライン コンプリヘンシブ | 880,000~990,000円 |
インビザライン ファースト | 440,000円 |
※掲載費用はすべて税込みです。
インビザラインの治療の流れ
当医院での治療の流れを説明します。
無料相談
患者さんの歯並びや噛み合わせに関する悩み、治療後のイメージ、治療に対するご要望などプライバシーを重視した個室のカウンセリングルームで丁寧に伺います。その後、歯科医師が口腔内を確認し、3D画像も交えて患者さんにわかりやすく治療計画を説明します。
精密検査
パノラマレントゲンと口腔内3Dスキャナを使った精密検査を行います。精密検査で取得した口腔内のデータから、見た目の改善だけでなく精密な噛み合わせを実現できるような治療かどうかを確認します。
治療説明
口腔内スキャナなどの検査結果を踏まえ、口腔内のより詳しい状況と治療の詳細を説明します。シミュレーションを用意し、仕上がりイメージもあわせて確認してもらいます。
インビザラインの発注
データをインビザラインのアメリカ本社に送ります。インビザラインの到着までは約1〜2週間かかります。
治療開始
インビザラインが届くと治療開始です。最初のアライナーを取り付ける前に、アタッチメントの取り付けや歯を動かすための隙間を作るスライス、アライナーの取り付け・取り外しといった練習も行います。1日22時間装着し、2週間ごとに新しいアライナーに交換します。次回の来院までに必要な個数のアライナーを渡しします。自宅で交換をしてください。
定期チェック・調整
1~2か月に一度来院し、治療の進み具合や口腔内の状態を確認します。次回の来院までに必要なマウスピースを渡します。
保定・メンテナンス
矯正した直後の歯は戻る習性があるため、きれいに整った歯並びが固定されるまでリテーナーと呼ばれる器具を装着してもらいます。この保定期間中も定期的に通院し、歯並びがずれていないかなどを確認します。
インビザラインの治療回数・期間
- 治療期間:
- 3か月〜2年
- 通院回数:
- 3〜36回

口腔内3Dスキャナによる的確な診断・精密な矯正治療!治療前に仕上がり予測も確認できる
千葉総合歯科稲毛 矯正歯科では、矯正治療を始める前にカウンセリングを行って口腔内の状態や治療内容、治療期間、治療費用をできるだけわかりやすく説明する方針をとっています。インビザラインを使用したマウスピース矯正治療においては、より的確な診断と精密な矯正治療の提供を目指しています。具体的にはパノラマレントゲンと口腔内3Dスキャナで取得した口腔内のデータから、見た目を改善するだけでなく、精密な噛み合わせを実現できるような治療かどうかを確認してくれます。
口腔内3Dスキャナは口腔内をスキャンするだけで精密な歯型が採れます。スキャンした歯型データは専用ソフトを使って3Dシミュレーションにして見せてくれます。シミュレーションでは、治療の経過とともに歯列がどのように動くのかという予測から仕上がりをイメージできるため、「これから矯正治療を始めるのが楽しみになる」という方もいるかもしれません。
『患者さんが理想とする口元に近づけるために全力を尽くす』という同院。一人ひとりの口腔内の状態に合った治療方法を見極め、健康的で美しい歯並びとなるよう患者さんとともに歩んでくれる歯科医院です。
低年齢の間しかできない矯正や部分矯正にもインビザラインを使ったマウスピース矯正で対応
千葉総合歯科稲毛 矯正歯科では、「インビザライン・ファースト」を採用し、お子さんの矯正治療にも力を入れています。
同院によると「矯正を専門に扱う歯科医院でも、大人の矯正が得意な歯科医院とお子さんの矯正が得意な歯科医院がある。大人とお子さんとでは矯正治療の目的が異なることから、お子さんの未来のためにも、お子さんの矯正治療に詳しい歯科医院を選ぶことが大切」だといいます。
低年齢から矯正するメリットとして「将来的に永久歯の抜歯リスクを回避して歯並びを良くできる可能性がある」点、「結果的に骨格(顔立ち)が整ったり、全身の健康にもよい影響が出たりする可能性がある」点を挙げています。
同院では、お子さんの歯並びについて悩んでいる保護者の方はできるだけ早く相談に来てほしいとしています。
大人の矯正では前歯の出っ歯・すきっ歯・叢生(そうせい=凹凸)だけでもきれいに整えたいという要望に応えて、部分矯正を提供しています。インビザラインを使ったさまざまな症例の矯正治療に携わってきた副院長の鈴木 祐輔先生によると「出っ歯やすきっ歯など同じような症状でも、患者さんに適した治療は異なる」そうです。
同院ではできる限り多くの選択肢を用意し、患者さんが納得の行く選択をして治療にも臨めるよう、サポートしてくれます。インビザラインを使ったマウスピース矯正治療を検討している方は、気軽に無料相談に訪ねてみてはいかがでしょうか。
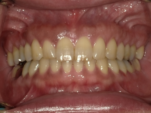
インビザラインの症例①:
前歯のすきっぱ(空隙歯列)が気になる


この症例の詳細はこちら
千葉総合歯科稲毛 矯正歯科
のご予約はこちら
※矯正歯科ネットへ移動します。
まとめ
いかがでしたか?矯正歯科ネットプラス編集部がおすすめする千葉県千葉市でインビザライン対応の矯正歯科医院をご紹介しました。
千葉県千葉市には、アクセスしやすい医院や休日診療など、患者さんのお悩みに対応したクリニックがたくさんあります。
お口のお悩み、通院のお悩みに合わせ、まずは編集部おすすめのインビザラインに対応している矯正歯科医院で相談してみてはいかがでしょうか。